Кратко обобщение
Разберете кой не е подходящ за дентални импланти, защо съществуват противопоказания и как VIDENT Antwerp безопасно оценява имплантната пригодност.
Ето опростената истина, която повечето пациенти никога не чуват:
- Пациенти с неконтролирани системни заболявания (напр. неконтролиран диабет)
- Лица, подложени на активно онкологично лечение
- Хора с тежки нарушения на костния метаболизъм
- Тежки пушачи (10+ цигари дневно)
- Пациенти с тежък бруксизъм (скърцане със зъби)
- Лица с лоша орална хигиена или нелекувано заболяване на венците
- Растящи юноши
- Пациенти с лошо сътрудничество или нереалистични очаквания
Някои състояния са временни, а не постоянни противопоказания, като например бременност или активни инфекции.
В VIDENT Antwerp всеки кандидат за импланти преминава през цялостна медицинска и дентална оценка на риска, за да се осигури най-безопасният и предвидим резултат.
Защо денталните импланти не са подходящи за всеки
В повечето случаи денталните импланти са най-близкото нещо в съвременната стоматология до заместването на естествен зъб.
Но ето нещо, което повечето клиники рядко казват ясно:
Денталните импланти не са правилното решение за всеки пациент.
Това не е ограничение на технологията.
Това е въпрос на биология, капацитет за заздравяване и дългосрочна безопасност.
Целта на етичната имплантология не е просто поставянето на импланти.
Целта е те да се поставят само когато успехът е силно предвидим.
Защото неуспешният имплант струва много повече от пари.
Той струва време, здраве и увереност.
Разбирането кой НЕ трябва да получава дентални импланти всъщност е една от най-умните стъпки към защитата на вашата усмивка.
И интересното е, че много пациенти, които първоначално смятат, че не са подходящи кандидати, всъщност стават такива, след като се създадат правилните условия.
Ще обясним точно как.
Безопасни ли са денталните импланти за всички пациенти?
Представете си двама пациенти.
Единият е здрав, с добро качество на костта и отлична орална хигиена.
Другият има неконтролиран диабет, пуши силно и има нелекувано заболяване на венците.
И двамата искат импланти.
Технически имплант може да бъде поставен и при двамата пациенти.
Но само единият случай има предвидим дългосрочен успех.
Денталните импланти зависят от биологичен процес, наречен осеоинтеграция.
Осеоинтеграцията означава, че титановият имплант се слива директно с челюстната кост, създавайки стабилен изкуствен корен на зъб.
За да се случи това срастване, тялото се нуждае от:
- Здрав костен метаболизъм
- Адекватно кръвоснабдяване
- Контролирано възпаление
- Подходяща способност за заздравяване
Когато тези условия са нарушени, рискът от неуспех на импланта значително се увеличава.
Ето защо отговорната имплантология винаги започва с подбор на пациента, а не със самата хирургия.
Какво означава „противопоказано“ в имплантологията?
В медицината противопоказание означава състояние, при което дадено лечение не трябва да се извършва, защото рисковете надвишават ползите.
В имплантологията противопоказанията се разделят на три категории:
- Абсолютни противопоказания
Лечението с импланти не трябва да се извършва. - Относителни противопоказания
Лечението може да бъде възможно със специално управление. - Временни противопоказания
Лечението трябва да се отложи, докато условията се подобрят.
Тази класификация помага на стоматолозите да вземат решения, основани на доказателства, ръководени от клинични изследвания и международни насоки по имплантология.
Разбирането на тези категории помага на пациентите да избегнат най-болезнения възможен резултат: лечение, което изобщо не е трябвало да бъде предприемано.
Абсолютни противопоказания — Пациенти, които НЕ трябва да получават дентални импланти при никакви обстоятелства
Тези ситуации са редки, но когато се появят, поставянето на имплант става медицински небезопасно.
Отговорната клиника винаги ще поставя дългосрочното здраве пред извършването на процедура.
Пациенти с неконтролирани системни заболявания
Устата не е отделена от тялото.
Състоянията, засягащи системното здраве, директно влияят върху костното заздравяване и имунния отговор.
Денталните импланти обикновено са противопоказани при пациенти с лошо контролирани системни заболявания, включително:
- Неконтролиран захарен диабет
- Тежки имунни нарушения
- Напреднала сърдечно-съдова нестабилност
- Тежки нарушения на кръвосъсирването
Например: Пациент с лошо контролиран диабет може да изпита забавено заздравяване на рани и по-висок риск от инфекция. Имплантът може да не се интегрира с костта.
Въпреки това, когато диабетът е добре контролиран, успеваемостта на имплантите става сравнима с тази при здрави пациенти.
Това подчертава важен момент: Понякога решението не е да се избягват имплантите. Понякога е първо да се оптимизира здравето.
Пациенти, подложени на активно лечение на рак
Леченията на рак като химиотерапия, лъчетерапия, таргетни терапии могат значително да повлияят върху способността на организма за заздравяване.
Лъчетерапията в областта на главата и шията може също да увеличи риска от остеорадионекроза, тежко усложнение при заздравяването на костта.
За пациенти, които в момента преминават през онкологична терапия, поставянето на импланти обикновено се отлага, докато лечението бъде завършено, онкологът потвърди безопасни условия за заздравяване и костното здраве се стабилизира.
Вашият онколог и имплантолог трябва да си сътрудничат тясно в тези случаи. Безопасността винаги е на първо място.
Тежки нарушения на костния метаболизъм
Денталните импланти разчитат на стабилно костно ремоделиране.
Състояния, които нарушават костния метаболизъм, могат да предотвратят правилната интеграция на импланта.
Примери включват напреднала остеопороза с определени медикаменти, остеомалация, метаболитни костни заболявания.
Особено важни са интравенозните бисфосфонатни медикаменти, които могат да увеличат риска от медикаментозно свързана остеонекроза на челюстта (MRONJ).
Ето защо пълният преглед на медикаментите е задължителна част от планирането на импланти.
В VIDENT Antwerp ние оценяваме както системното здраве, така и медикаментозната история, преди да препоръчаме импланти.
Относителни противопоказания — Пациенти, които може да не са подходящи без специално управление
Тези състояния не предотвратяват автоматично поставянето на импланти. Въпреки това те увеличават риска от усложнения. Подходящата подготовка и промени в начина на живот често могат да превърнат тези пациенти в отлични кандидати.
Тежки пушачи (повече от 10 цигари на ден)
Пушенето намалява кръвния поток и пречи на заздравяването. Никотинът причинява вазоконстрикция, ограничавайки доставката на кислород до хирургичния участък.
Изследванията последователно показват по-високи нива на неуспех на имплантите, повишен риск от инфекции и по-голяма костна загуба около имплантите.
Пациентите, които пушат повече от 10 цигари дневно, са изправени пред значително по-висок риск от усложнения.
Но ето и окуражаващата новина: Много пушачи успешно получават импланти след намаляване или спиране на пушенето, подобряване на оралната хигиена и стриктно следване на следоперативните грижи.
За много пациенти лечението с импланти се превръща в мощна мотивация да спрат пушенето завинаги.
Пациенти с тежък бруксизъм (скърцане със зъби)
Бруксизмът създава силно механично натоварване върху зъбите. Денталните импланти нямат естествения амортизиращ лигамент, който притежават естествените зъби.
Когато се появят прекомерни сили по време на скърцане или стискане: имплантните винтове могат да се разхлабят, керамичните корони могат да се счупят, може да се развие костна загуба.
Въпреки това този риск често може да бъде контролиран чрез нощни шини, оклузални корекции, внимателно позициониране на импланта и подсилени протетични материали.
Правилното планиране превръща риска в управляема биомеханика.
Лоша орална хигиена и активно пародонтално заболяване
Един от най-силните предиктори за усложнения при импланти е нелекуваното заболяване на венците. Пародонталните инфекции съдържат бактерии, които могат също да атакуват денталните импланти, водейки до периимплантит.
Периимплантитът причинява костна загуба около имплантите, нестабилност на импланта и потенциален неуспех на импланта.
Но ето и добрата новина: След като заболяването на венците бъде успешно лекувано и оралната хигиена се подобри, имплантите отново стават жизнеспособни.
Имплантологията възнаграждава пациенти, които са готови да участват активно в поддържането на своето орално здраве.
Възрастово свързани противопоказания — Твърде млад или твърде стар?
Много пациенти предполагат, че имплантите са ограничени от възрастта. В действителност биологичната зрялост е много по-важна от хронологичната възраст.
Безопасни ли са денталните импланти за възрастни пациенти?
Някои от нашите най-благодарни пациенти с импланти са на 70 и 80 години. Само възрастта не дисквалифицира никого.
Всъщност проучванията показват, че успеваемостта на имплантите при по-възрастни възрастни остава изключително висока, когато системното здраве е стабилно.
Имплантите могат драматично да подобрят дъвкателната способност, хранителния прием, яснотата на речта и увереността в социални ситуации.
Представете си да се наслаждавате на хранене с приятели, без да се притеснявате, че протезите ще се разместват. За много по-възрастни пациенти имплантите възстановяват усещането за нормален живот.
Защо денталните импланти са противопоказани при растящи юноши
Младите пациенти имат различно предизвикателство. Техните челюстни кости все още растат.
Ако имплант бъде поставен преди завършване на скелетния растеж, околната кост продължава да се развива, докато имплантът остава фиксиран.
Това може да доведе до неправилно подравняване на зъбите, потъване на импланта и естетични усложнения.
Затова имплантите обикновено се отлагат до 18+ години за повечето пациенти и потвърдено завършване на скелетния растеж.
Временни решения могат да поддържат функцията и естетиката до идеалния момент.
Психологически и поведенчески противопоказания
Успешната имплантна терапия изисква сътрудничество между стоматолог и пациент. Това партньорство често се пренебрегва, но е критично важно.
Пациенти с лошо сътрудничество или нереалистични очаквания
Денталните импланти изискват ангажимент към оралната хигиена, редовни поддържащи посещения и следване на следоперативните инструкции.
Пациенти, които не могат или не желаят да следват тези насоки, са изправени пред по-висок риск от усложнения.
Друго предизвикателство са нереалистичните очаквания. Имплантите възстановяват зъбите красиво. Но те не са идентични с естествените зъби.
Ясната комуникация и обучението на пациента са съществени за дългосрочно удовлетворение.
В VIDENT Antwerp планирането на лечението винаги включва честни разговори относно резултатите, ограниченията и алтернативите. Доверието започва с прозрачност.
Временни противопоказания — Кога денталните импланти трябва да се отложат, а не да се избягват
Някои състояния просто изискват изчакване на правилния момент. В медицината времето е всичко.
Бременност и дентални импланти
Елективната имплантна хирургия обикновено се отлага по време на бременност. Причините включват избягване на ненужни медикаменти, ограничаване на рентгенографските изследвания и намаляване на стреса по време на бременност.
След приключване на бременността и възстановителния период, имплантното лечение може да продължи безопасно.
Остри инфекции и лошо качество на костта
Активните инфекции винаги трябва да бъдат лекувани първо. Примери включват дентални абсцеси, остри пародонтални инфекции и тежко възпаление в областта на импланта.
Освен това недостатъчният обем на костта може да изисква процедури за костна аугментация преди поставяне на имплант. Тези подготвителни лечения значително подобряват успеха на имплантите.
Как VIDENT Antwerp оценява пригодността за импланти (нашият протокол, основан на доказателства)
Много пациенти се притесняват да чуят думите: „Не сте подходящ кандидат.“ Но истината често е обратната.
С модерна диагностика и подготовка много пациенти, които първоначално изглеждат неподходящи, се превръщат в отлични кандидати.
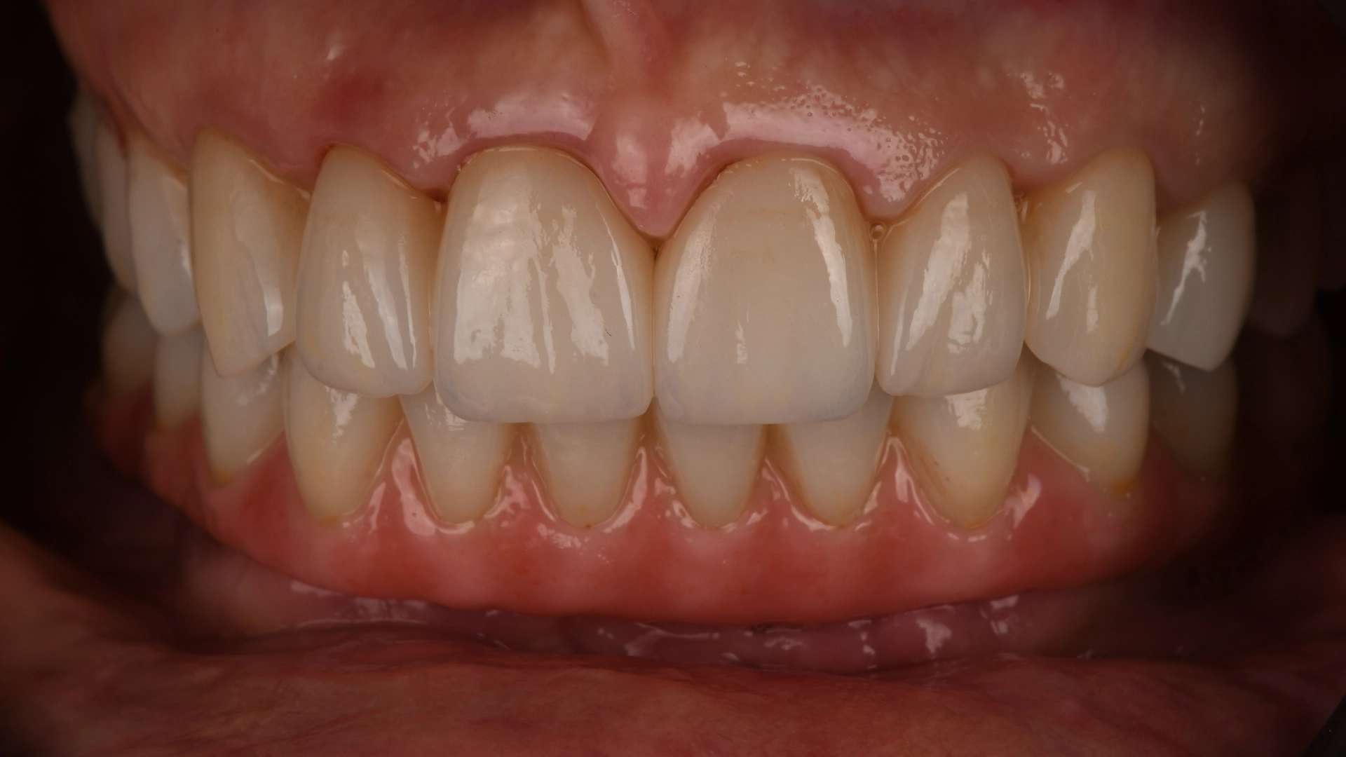
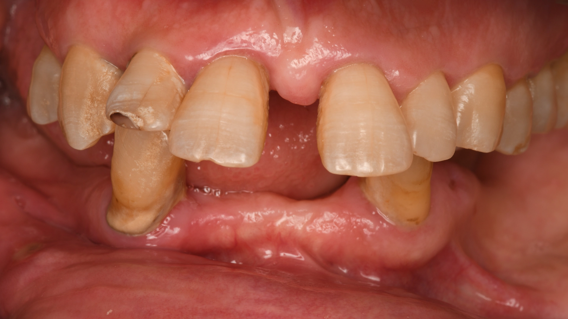
Преди и след — Реална трансформация на пациент
С правилната подготовка и оценка на риска пациенти, които първоначално са били противопоказани, често стават идеални кандидати за предвидим дългосрочен успех.


Цялостна медицинска и дентална оценка на риска
Всяка консултация за импланти във VIDENT Antwerp включва:
- Подробен преглед на медицинската история
- 3D CBCT образна диагностика на челюстната кост
- Оценка на костната плътност
- Оценка на здравето на венците
- Анализ на силата на захапката и оклузията
- Преглед на медикаментите
Този подход идентифицира рисковите фактори преди началото на лечението. Предотвратяването на усложнения винаги е по-добро от лечението им по-късно.
Напредналото дигитално планиране ни позволява да визуализираме точната позиция на импланта, качеството на костта и крайната реставрация преди всяка хирургия.
Персонализирано вземане на решения за импланти
Нито двама пациенти имат идентична анатомия, здраве или цели. Вместо подход „един размер за всички“, ние създаваме индивидуализирани лечебни стратегии.
Понякога най-доброто решение е: Незабавно поставяне на имплант
В други случаи най-доброто решение е: Първо подготовка (терапия на венците, костна аугментация, промени в начина на живот)
Тази философия „пациентът на първо място“ води до най-важното: предвидим дългосрочен успех.
Защото истинската цел не е просто поставянето на импланти. Целта е да ви дадем усмивка, която все още функционира прекрасно след 10 или 20 години.
Страхът, с който влязох преди месеци, изчезна за няколко минути. Много добър зъболекар, който обяснява добре и познава занаята си. Сега се лекувам за 2 импланта и всичко е перфектно. Силно препоръчвам.
Вашата следваща стъпка: Разберете дали сте подходящ за дентални импланти
Ако проучвате противопоказанията за дентални импланти, вече правите нещо умно. Мислите дългосрочно.
Правилното решение не може да се вземе само от сайт. Необходимо е клинична оценка на вашата кост, медицински профил и общо здраве.
Във VIDENT Dental Clinic Antwerp ние водим пациентите стъпка по стъпка. Без натиск. Само ясни и честни медицински съвети.
Ако искате да проучите възможностите си, запишете си персонализирана оценка за импланти.
Готови ли сте да разберете дали денталните импланти са подходящи за вас?
Запишете си персонализирана оценка за импланти в VIDENT Dental Clinic Antwerp днес.
📞 Обадете се във VIDENT Dental Clinic за консултация — +32 468 42 86 77Често задавани въпроси
Може ли всеки да получи дентални импланти?
Не. Въпреки че денталните импланти са една от най‑предвидимите процедури в съвременната стоматология, не всеки пациент автоматично е подходящ кандидат.
Успешното имплантно лечение зависи от няколко биологични фактора, включително:
- Достатъчна плътност на челюстната кост
- Здрава тъкан на венците
- Стабилно системно здраве
- Подходяща способност за заздравяване
Някои медицински състояния, навици на живот или медикаменти могат временно или постоянно да противопоказват имплантната хирургия.
Въпреки това много пациенти, които първоначално изглеждат неподходящи, могат да станат кандидати след правилна медицинска стабилизация или подготвителни лечения като костна аугментация или пародонтална терапия.
Кои медицински състояния могат да попречат на операцията за дентални импланти?
Няколко системни здравословни състояния могат да увеличат риска от неуспех на имплантите, ако са лошо контролирани.
Най‑честите примери включват:
- Неконтролиран диабет
- Тежки нарушения на имунната система
- Напреднали нарушения на кръвосъсирването
- Някои метаболитни костни заболявания
- Пациенти, получаващи високи дози интравенозна бисфосфонатна терапия
Ключовият фактор е контролът на заболяването, а не само диагнозата.
Много пациенти с хронични състояния успешно получават импланти, след като медицинското им състояние бъде правилно управлявано в сътрудничество с техния лекар.
Могат ли пушачите безопасно да получат дентални импланти?
Пушенето е един от най‑значимите рискови фактори, свързани с начина на живот, в имплантологията.
Никотинът намалява кръвообращението и пречи на осеоинтеграцията — биологичния процес, при който имплантът се слива с челюстната кост.
Изследванията показват, че пушачите имат:
- По‑високи нива на неуспех на имплантите
- Повишен риск от периимплантит
- По‑бавнозарастващи хирургични рани
Пациентите, които пушат повече от 10 цигари на ден, са изложени на най‑висок риск.
Въпреки това много пушачи все пак получават успешни импланти след намаляване или спиране на пушенето преди операцията и по време на заздравяването.
Защо заболяването на венците е проблем за денталните импланти?
Денталните импланти изискват здрава биологична среда, за да останат стабилни в дългосрочен план.
Пациентите с нелекувано пародонтално заболяване (заболяване на венците) носят вредни бактерии, които могат да инфектират тъканите около имплантите.
Тази инфекция се нарича периимплантит и може да причини:
- Прогресивна костна загуба
- Възпаление на венците
- Нестабилност или неуспех на импланта
Преди поставянето на имплант стоматолозите обикновено препоръчват пародонтална терапия за елиминиране на инфекцията и стабилизиране на здравето на венците.
След като венците са здрави, успеваемостта на имплантите значително се увеличава.
Безопасни ли са денталните импланти за по‑възрастни хора?
Да. Възрастта сама по себе си не е противопоказание за дентални импланти.
Всъщност много проучвания показват, че успеваемостта на имплантите при здрави пациенти над 70 години е сравнима с тази при по‑млади възрастни.
За възрастните пациенти имплантите често осигуряват значителни ползи:
- Подобрена дъвкателна способност
- По‑добро хранене
- Повишена стабилност на протезите
- По‑голяма увереност при говорене или усмивка
Определящите фактори са общото здраве, качеството на костта и оралната хигиена, а не възрастта.
Защо тийнейджърите не могат да получат дентални импланти?
Денталните импланти обикновено се отлагат, докато растежът на челюстната кост бъде завършен.
При юношите челюстта продължава да се развива.
Ако имплант бъде поставен твърде рано, той се държи като фиксирана структура, която не се движи заедно с растящата кост.
Това може да доведе до:
- Неправилно подравняване със съседните зъби
- Естетични проблеми
- Функционални проблеми със захапката
Повечето стоматолози изчакват до 18‑годишна възраст или потвърждават скелетната зрялост чрез клинична оценка.
Могат ли денталните импланти да се провалят, ако скърцам със зъби?
Да, тежкият бруксизъм (скърцане със зъби) може да постави прекомерен механичен стрес върху имплантите.
За разлика от естествените зъби, имплантите нямат пародонтален лигамент, който обикновено действа като амортисьор.
Това означава, че прекомерните сили от скърцане могат да причинят:
- Разхлабване на компонентите на импланта
- Фрактури на короната
- Костна загуба около импланта
Стоматолозите често управляват този риск чрез:
- Индивидуални нощни шини
- Подсилени протетични материали
- Прецизна корекция на захапката
При правилно планиране много пациенти с бруксизъм все пак постигат дългосрочен успех с импланти.
Има ли ситуации, в които денталните импланти трябва да се отложат вместо да се избягват?
Да. Много противопоказания за импланти са временни, а не постоянни.
Примери включват:
- Бременност
- Активни орални инфекции
- Скорошна екстракция на зъб с възпаление
- Недостатъчна кост, изискваща костна аугментация
- Временни медицински лечения, влияещи на заздравяването
След като тези състояния бъдат лекувани или стабилизирани, поставянето на импланти може да продължи безопасно.
В съвременната имплантология отлагането на лечението често води до по‑добри дългосрочни резултати.
Как стоматолозите определят дали съм подходящ кандидат за дентални импланти?
Правилната оценка за импланти включва цялостен диагностичен процес, а не само бърз визуален преглед.
Повечето оценки за импланти включват:
- Подробен преглед на медицинската история
- 3D CBCT образна диагностика на челюстната кост
- Анализ на костната плътност и обем
- Оценка на здравето на венците
- Анализ на захапката и оклузията
- Оценка на медикаментите и начина на живот
Тази систематична оценка позволява на стоматолозите да определят дали имплантите са:
- Възможни незабавно
- Възможни след подготовка
- Или временно противопоказани
Целта винаги е предвидим дългосрочен успех, а не просто поставянето на имплант.