Достъпни по телефон: пон–пет, от 9:30 до 12:00 и от 13:00 до 16:00 ч.

Прозрачни алайнери срещу брекети: Най‑пълното ръководство за вземане на решение, водено от зъболекари, за възрастни и тийнейджъри в Антверпен — ефективност, стабилност, цена, рискове и коя опция създава най‑добрата усмивка за цял живот

Какво ще научите в тази статия

Очаквано време за четене: ~9 минути

Кратко ръководство за решение

Ако се опитвате да изберете между прозрачни алайнери (като Invisalign) и традиционни брекети, ето кратката версия:

  • Прозрачни алайнери: Най-подходящи за леки до умерени проблеми с подравняването, възрастни и професионалисти, които искат почти невидимо решение.
  • Брекети: Често по-подходящи за сложни проблеми със захапката, силно струпване на зъби или големи ротации на зъбите.
  • Скорост: И двете лечения обикновено отнемат 12–24 месеца, в зависимост от сложността.
  • Комфорт: Алайнерите са по-гладки и могат да се свалят; брекетите изискват повече настройки.
  • Дългосрочна стабилност: И двете работят еднакво добре, ако след лечението се носят ретейнери.
  • Цена в Антверпен: Обикновено €3,000–€6,500, в зависимост от сложността.

Истинският въпрос не е „Кое е по-добро?“

Истинският въпрос е „Кое е по-добро за вашите конкретни зъби, начин на живот и дългосрочна стабилност на усмивката?“

Защо пациентите в Антверпен се затрудняват да изберат между прозрачни алайнери и брекети

Изборът на ортодонтско лечение често се усеща като объркващ. Много пациенти пристигат в клиниката след часове онлайн проучване, което ги е оставило по-скоро объркани, отколкото уверени.

Те искат права усмивка — но също така искат сигурност.

Защо решението е по-сложно, отколкото повечето уебсайтове обясняват

Повечето уебсайтове опростяват ортодонтията до маркетингова битка: алайнери срещу брекети.

В действителност решението зависи от няколко биологични и свързани с начина на живот фактори:

  • Позиция и ротация на зъбите
  • Връзка на захапката между горните и долните зъби
  • Плътност на костта и здраве на венците
  • Дисциплина на пациента и ежедневни навици
  • Възраст и етап на растеж

Двама пациенти със сходно криви зъби може да изискват напълно различни лечения.

Clear aligners vs braces comparison at VIDENT Antwerp

7-те най-големи въпроса, които пациентите задават преди започване на ортодонтско лечение

Когато хората посещават нашата клиника в Антверпен, техните притеснения са изненадващо сходни:

  1. Ще работят ли алайнерите за моя случай?
  2. По-бързи ли са брекетите?
  3. Коя опция боли повече?
  4. Колко видими са брекетите днес?
  5. Какво се случва, ако зъбите се преместят обратно по-късно?
  6. Колко ще струва лечението?
  7. Ще пречи ли лечението на работата или социалния ми живот?

Всеки въпрос засяга по-дълбок страх: да направите грешен избор и да съжалявате по-късно.

Често срещани митове, които пациентите чуват за Invisalign и брекетите

Пациентите често чуват противоречиви съвети от приятели или социални мрежи.

Често срещаните митове включват:

  • „Алайнерите работят само за малки корекции.“
  • „Брекетите винаги работят по-бързо.“
  • „Ортодонтията е само за тийнейджъри.“
  • „Зъбите винаги се връщат обратно след лечение.“

Истината е по-нюансирана — и разбирането ѝ ви помага да избегнете решения, които могат да повлияят на усмивката ви в продължение на десетилетия.

Защо грешният избор може да повлияе на усмивката ви в продължение на десетилетия

Ортодонтското лечение променя костната структура, позицията на зъбите и функцията на захапката.

Ако планът е лошо проектиран или методът е неподходящ, проблеми могат да се появят години по-късно:

  • Дисбаланс на захапката
  • Износване на зъбите
  • Дискомфорт в челюстта
  • Рецидив на струпване на зъби

Целта не е просто прави зъби днес.

Целта е стабилна усмивка за цял живот.

След това нека разберем как всъщност работи всяка система.


Какво точно представляват прозрачните алайнери и как преместват зъбите?

Много хора виждат алайнерите като прости пластмасови шини.

В действителност те са високотехнологични ортодонтски устройства.

Как прозрачните алайнери прилагат контролирана ортодонтска сила

Прозрачните алайнери са прозрачни пластмасови шини от медицински клас, създадени да преместват зъбите постепенно чрез лек натиск.

Всеки алайнер премества зъбите приблизително с 0.2–0.3 mm наведнъж.

Носите серия от алайнери, като обикновено ги сменяте на всеки 1–2 седмици.

През месеците тези малки движения създават големи промени в подравняването.

Как лечението се планира дигитално с 3D сканиране

Съвременното лечение с алайнери започва с 3D интраорален скенер.

Това създава прецизен дигитален модел на вашите зъби. Ортодонтски софтуер след това симулира цялата последователност на движенията.

Пациентите често могат да видят предварителен преглед на бъдещата си усмивка, преди лечението да започне.

Какви типове движения на зъбите могат да постигнат алайнерите

Прозрачните алайнери са отлични за:

  • Леко до умерено струпване на зъби
  • Малки разстояния между зъбите
  • Малки корекции на захапката
  • Козметични подобрения на подравняването

За много възрастни пациенти това е точно това, от което се нуждаят.

Къде прозрачните алайнери срещат трудности в сравнение с брекетите

Някои движения на зъбите изискват по-силен механичен контрол.

Алайнерите може да имат затруднения при:

  • Големи ротации на кръгли зъби
  • Тежки корекции на захапката
  • Вертикални движения на зъбите
  • Сложни взаимоотношения на челюстите

Тук традиционните брекети все още имат предимства.


Какво представляват брекетите и защо все още се считат за златен стандарт при някои случаи

Брекетите са се развили значително през последните две десетилетия.

Те вече не са обемистите метални системи, които много възрастни си спомнят.

Как фиксираните брекети преместват зъбите по различен начин от алайнерите

Брекетите използват брекети, прикрепени към зъбите, и ортодонтска дъга, която ги свързва.

Тази система позволява на ортодонтите да прилагат непрекъсната и силно контролирана сила в множество посоки.

Това ниво на контрол е причината брекетите да остават незаменими при сложни случаи.

Видове брекети, използвани в съвременната ортодонтия

Съвременната ортодонтия включва няколко системи брекети:

  • Метални брекети – най-малки и най-прецизни
  • Керамични брекети – в цвят на зъбите за по-добра естетика
  • Самолигиращи брекети – проектирани за по-плавно движение

Всеки има специфични клинични предимства.

Кога ортодонтите силно препоръчват брекети вместо алайнери

Зъболекарите често препоръчват брекети при лечение на:

  • Силно струпване на зъби
  • Значителни несъответствия на захапката
  • Сложни ротации
  • Подрастващи тийнейджъри с проблеми в развитието на челюстта

В тези случаи брекетите предлагат предсказуемост и ефективност.

Как съвременните брекети са по-малки и по-комфортни от по-старите системи

Съвременните брекети са по-малки, по-гладки и по-биомеханично усъвършенствани.

Много пациенти се изненадват, когато открият, че брекетите днес са много по-комфортни, отколкото са очаквали.


Прозрачни алайнери срещу брекети: Кое е по-ефективно при различни стоматологични проблеми?

Най-важният въпрос, който пациентите задават, е прост:

Кое лечение всъщност ще реши моя проблем?

Струпани зъби

И алайнерите, и брекетите работят добре при леко до умерено струпване.

Силното струпване често реагира по-добре на брекети.

Разстояния между зъбите

Алайнерите са отлични при затваряне на малки до умерени разстояния.

Дълбока захапка (Overbite)

Леките корекции на дълбока захапка могат да се лекуват с алайнери.

Умерените или тежките случаи може да изискват брекети или комбинирани ортодонтски техники.

Обратна захапка (Underbite)

Обратната захапка често включва позициониране на челюстта, което може да изисква брекети или сътрудничество с хирург.

Кръстосана захапка (Crossbite)

И двете лечения могат да работят, в зависимост от тежестта.

Тежки ротации

Брекетите обикновено се представят по-добре, когато зъбите трябва да се завъртят повече от 20–30 градуса.

Сложни проблеми с подравняването на челюстта

Сложните скелетни проблеми може да изискват ортодонтско лечение, комбинирано с челюстна хирургия.

Common dental problems treated with aligners and braces at VIDENT Antwerp

Коя опция работи по-бързо? Обяснение на времето за лечение

Много пациенти искат да знаят едно нещо: Колко дълго ще отнеме това?

Средна продължителност на лечението с прозрачни алайнери

Повечето случаи с алайнери продължават 12–18 месеца.

Простите козметични корекции може да приключат по-рано.

Средна продължителност на лечението с брекети

Брекетите често отнемат 18–24 месеца, особено при сложни случаи.

Фактори, които могат да удължат лечението

Продължителността на лечението зависи от:

  • Тежестта на проблемите с подравняването
  • Костната реакция към движението
  • Възрастта на пациента
  • Спазването на инструкциите

Защо спазването на инструкциите от пациента е критично при алайнерите

Алайнерите трябва да се носят 20–22 часа на ден.

Твърде честото им сваляне може значително да забави лечението.


Дългосрочна стабилност: Коя опция поддържа зъбите прави за цял живот?

Пациентите често се страхуват от рецидив.

Това притеснение е основателно — но решението е просто.

Защо зъбите естествено се опитват да се преместят обратно

Зъбите се задържат на място от периодонтални връзки.

Тези тъкани имат „памет“ и могат да изтеглят зъбите обратно към първоначалните им позиции.

Ролята на ретейнерите след лечението

Ретейнерите стабилизират зъбите, докато костта се ремоделира.

Повечето ортодонти препоръчват носене на ретейнер през нощта за неопределено време.

Риск от рецидив при алайнери срещу брекети

Рискът от рецидив е сходен при двете лечения.

Ретенцията — а не видът лечение — определя стабилността.

Какво всъщност определя дългосрочната стабилност

Ключовите фактори включват:

  • Носене на ретейнер
  • Баланс на захапката
  • Здраве на венците
  • Качество на ортодонтското планиране

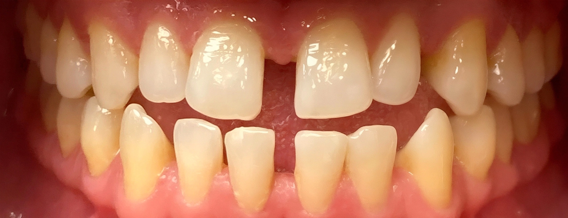
Before & After — Реални резултати от пациенти

С правилно ортодонтско планиране пациентите постигат красиви, стабилни трансформации на усмивката, които остават за цял живот.

After clear aligner treatment at VIDENT Antwerp – straight teeth result
Before clear aligner treatment – crooked teeth
Before After

Комфорт и ежедневие: хранене, говорене, работа и социална увереност

Ортодонтското лечение влияе на ежедневието.

Но въздействието може да е по-малко, отколкото си представяте.

Нива на болка през първите седмици

И двете системи причиняват лек натиск по време на корекции.

Повечето дискомфорт продължава 2–3 дни.

Промени в говора при алайнери

Някои пациенти забелязват леко фъфлене в началото.

Обикновено изчезва след няколко дни.

Ограничения при хранене с брекети

Твърди или лепкави храни трябва да се избягват.

Гъвкавост на начина на живот с подвижни алайнери

Алайнерите могат да се свалят за:

  • хранения
  • важни срещи
  • специални събития

Коя опция професионалистите предпочитат за работа и социални ситуации

Много професионалисти избират алайнери, защото са почти невидими.


Цена на прозрачни алайнери срещу брекети в Антверпен

Цената често е последният решаващ фактор.

Но да се съсредоточите само върху нея може да бъде подвеждащо.

Среден ценови диапазон в Белгия

Ортодонтското лечение в Антверпен обикновено варира между:

€3,000 – €6,500

Сложните случаи може да струват повече.

Защо алайнерите понякога са по-скъпи

Алайнерите включват:

  • усъвършенствано дигитално планиране
  • персонализирано производство
  • множество серии алайнери

Какво определя цената на ортодонтското лечение

Ключови фактори:

  • сложност на лечението
  • продължителност
  • използвана технология
  • опит на зъболекаря

Застраховка и възможности за възстановяване в Белгия

Белгийската здравна застраховка може да предостави частично възстановяване за по-млади пациенти.

Възрастните често разчитат на допълнителна стоматологична застраховка.

По-скъпата опция винаги ли е по-добра?

Не.

Най-доброто лечение е това, което коригира захапката правилно и остава стабилно в дългосрочен план.


Рискове и възможни усложнения, които пациентите трябва да знаят

Всяко медицинско лечение има потенциални рискове.

Прозрачността изгражда доверие.

Риск от резорбция на корена

В редки случаи ортодонтските сили могат леко да съкратят корените на зъбите.

Обикновено това е минимално и се наблюдава внимателно.

Кариес и хигиенни предизвикателства при брекети

Брекетите затрудняват почистването.

Добрата устна хигиена предотвратява бели петна и кариеси.

Загубени или повредени алайнери

Алайнерите могат да бъдат изгубени, което може да забави лечението.

Забавяне на лечението поради лошо спазване на режима

Пропускането на носене на алайнери или отсъствие от контролни прегледи забавя напредъка.

Кога ортодонтското лечение може да не протече според плана

Биологичните различия означават, че зъбите понякога се движат по-бавно от предвиденото.

Опитният ортодонтски контрол минимизира този риск.


Прозрачни алайнери срещу брекети при възрастни

Все повече възрастни избират ортодонтско лечение.

Често след години отлагане.

Защо повече възрастни избират ортодонтско лечение

Възрастните осъзнават, че уверената усмивка влияе върху професионалните и социалните взаимоотношения.

Най-добрите опции за работещи професионалисти

Прозрачните алайнери често се предпочитат, защото са дискретни.

Съображения при лечение на пациенти над 30 или 40

Плътността на костта и здравето на венците трябва да бъдат внимателно оценени.

Управление на ортодонтията при проблеми с венците

Здравите венци са задължителни преди започване на лечението.


Прозрачни алайнери срещу брекети при тийнейджъри

Тийнейджърите имат различни нужди.

Растежът и поведението играят роля.

Предизвикателства със спазването на режима при тийнейджъри

Алайнерите изискват дисциплина.

Някои тийнейджъри забравят да ги носят достатъчно често.

Съображения за безопасност при спорт

Алайнерите могат да служат като предпазни шини по време на спорт.

Училище и социална увереност

Естетическите притеснения често влияят върху избора на лечение.

Кога брекетите все още са по-добрата опция за тийнейджъри

При тежки ортодонтски проблеми брекетите осигуряват постоянен контрол, независимо от дисциплината.


Кои ортодонтски проблеми не могат да се лекуват с прозрачни алайнери?

Въпреки че алайнерите са мощни, те имат граници.

Тежки проблеми със захапката

Големи несъответствия на захапката често изискват брекети.

Големи ротации на зъби

Кръгли зъби с значителна ротация реагират по-добре на брекети.

Сериозни разлики в позицията на челюстите

Скелетните проблеми може да изискват комбинирано ортодонтско и хирургично лечение.

Когато се налага комбинирано ортодонтско и хирургично лечение

Операция на челюстта може да бъде препоръчана при големи скелетни дисбаланси.


Как зъболекарите решават най-добрия вариант за всеки пациент

Изборът на правилното лечение е структуриран клиничен процес.

Клиничен преглед

Зъболекарите оценяват:

  • позицията на зъбите
  • функцията на захапката
  • симетрията на челюстта

Дигитални сканирания и анализ на захапката

3D сканиранията позволяват планиране с точност до милиметър.

Оценка на костното и венечното здраве

Здравите поддържащи тъкани са от решаващо значение за безопасното движение на зъбите.

Индивидуални съображения за начина на живот

Лечението трябва да съответства на ежедневието и нивото на дисциплина на пациента.


Как протича ортодонтското лечение във VIDENT Antwerp

Ортодонтското лечение е процес стъпка по стъпка.

Разбирането му намалява тревожността.

Първоначална консултация и оценка на усмивката

Първото посещение включва:

  • преглед
  • обсъждане на целите
  • дигитално сканиране

3D дигитална симулация на усмивката

Пациентите често виждат симулация на крайната усмивка.

Персонализирано планиране на лечението

Създава се индивидуална ортодонтска карта.

Редовно проследяване на напредъка

Контролните прегледи гарантират безопасно и ефективно движение на зъбите.

Фаза на задържане след лечението

Ретейнерите запазват резултатите в дългосрочен план.

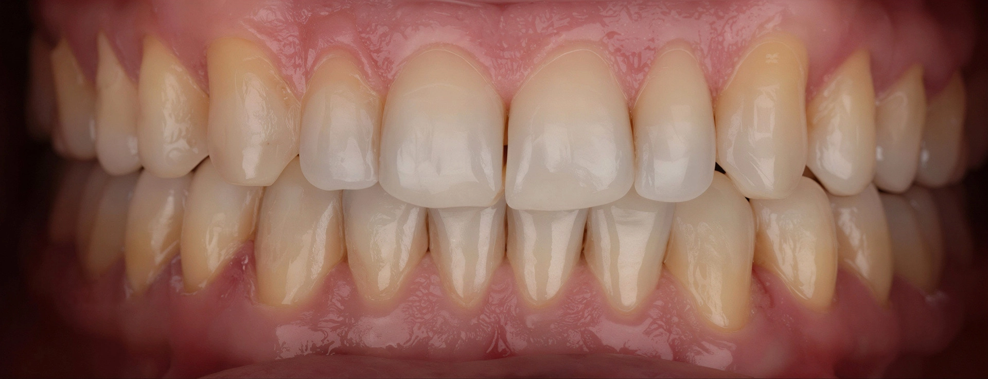
Before & After — Трансформация на усмивката

С експертно ортодонтско планиране във VIDENT Antwerp пациентите постигат уверени, трайни резултати чрез персонализирано лечение.

After orthodontic treatment at VIDENT Antwerp – beautiful aligned smile
Before orthodontic treatment – misaligned teeth
Before After

Прозрачни алайнери срещу брекети: Финалната препоръка на зъболекаря

След оценка на хиляди ортодонтски случаи изводът е ясен.

Кога алайнерите са най-добрият избор

  • Леки до умерени проблеми с подравняването
  • Възрастни и професионалисти
  • Пациенти, търсещи дискретно лечение

Кога брекетите са явно по-доброто решение

  • Силно струпване
  • Големи проблеми със захапката
  • Сложни движения на зъбите

Кога и двете опции могат да работят еднакво добре

Много пациенти са подходящи и за двете системи.

В тези случаи начинът на живот става решаващ фактор.


Запишете професионална ортодонтска консултация във VIDENT Antwerp

Кой трябва да обмисли ортодонтско лечение

Може да се възползвате, ако забележите:

  • криви зъби
  • разстояния
  • проблеми със захапката
  • движение на зъбите след предишно лечение

Какво ще научите по време на консултацията

Вашата консултация включва:

  • детайлен стоматологичен преглед
  • дигитално сканиране на усмивката
  • персонализирани възможности за лечение

Как да запишете оценка на усмивката

Следващата стъпка е проста.

Запишете консултация и открийте коя ортодонтска опция наистина подхожда на вашата усмивка, начин на живот и дългосрочно здраве.

Вашата бъдеща усмивка започва с ясен план.

Готови ли сте да откриете най-добрата ортодонтска опция за вашата усмивка?

Запишете персонализирана ортодонтска консултация във VIDENT Dental Clinic в Антверпен днес.

📞 Обадете се във VIDENT Dental Clinic за консултация — +32 468 42 86 77

Често задавани въпроси

Алайнерите толкова ефективни ли са, колкото брекетите?

Да, прозрачните алайнери могат да бъдат толкова ефективни, колкото брекетите при много ортодонтски случаи — особено при леки до умерени струпвания, разстояния и малки проблеми със захапката.

Брекетите обаче все още могат да бъдат по-предсказуеми при сложни движения на зъбите, като сериозни ротации или големи корекции на захапката.

Най-важният фактор е правилното планиране на лечението от опитен зъболекар или ортодонт.

Когато лечението е добре проектирано, и двете опции могат да постигнат отлични дългосрочни резултати.

Кое лечение работи по-бързо: алайнери или брекети?

Времето за лечение зависи повече от сложността на случая, отколкото от използваното устройство.

Типични продължителности на лечението:

  • Прозрачни алайнери: 12–18 месеца
  • Брекети: 18–24 месеца

При прости корекции алайнерите понякога работят малко по-бързо.

При сложни корекции на захапката брекетите могат да движат зъбите по-ефективно.

Вашият зъболекар определя ориентировъчния срок след оценка на захапката и позицията на зъбите.

Алайнерите болят ли по-малко от брекетите?

И двете лечения създават временно напрежение, когато зъбите се движат — това е нормална биологична реакция.

Повечето пациенти споделят:

  • лек натиск през първите 2–3 дни след нов алайнер
  • леко напрежение след настройка на брекетите

Прозрачните алайнери обикновено се възприемат като по-комфортни, тъй като имат гладки повърхности и без метални части.

Все пак нивото на болка е управляемо и при двете лечения.

Могат ли възрастни над 40 години да получат ортодонтско лечение?

Да. Самата възраст не е пречка за ортодонтско лечение.

Много пациенти на 40, 50 и дори 60 години успешно изправят зъбите си.

Основното изискване са здрави венци и достатъчна костна опора.

Всъщност прозрачните алайнери са особено популярни сред възрастните, защото са дискретни и подвижни, което ги прави лесни за интегриране в професионалния живот.

Какво се случва, ако не нося алайнерите достатъчно?

Прозрачните алайнери трябва да се носят 20–22 часа на ден, за да работят правилно.

Ако се свалят твърде често:

  • зъбите могат да спрат да се движат според плана
  • продължителността на лечението може да се увеличи
  • могат да бъдат необходими допълнителни алайнери

В някои случаи лечението може да се наложи да бъде преработено с нови дигитални сканирания.

Последователното носене е най-важният фактор за успешното лечение с алайнери.

Ще се преместят ли зъбите ми обратно след ортодонтско лечение?

Зъбите естествено имат тенденция да се изместват с времето поради „паметта“ на периодонталните връзки и промените в челюстта с напредване на възрастта.

Затова ретейнерите са от съществено значение след лечение.

Повечето зъболекари препоръчват носене на ретейнер:

  • всяка вечер през първата година
  • дългосрочно вечерно носене след това

Пациентите, които следват инструкциите, обикновено запазват стабилни резултати десетилетия наред.

Брекетите или алайнерите по-подходящи ли са за тийнейджъри?

Най-добрият вариант за тийнейджъри зависи от дисциплина и сложността на лечението.

Брекетите често се препоръчват за тийнейджъри, които:

  • имат сериозни проблеми със захапката
  • могат да забравят да носят алайнери
  • се нуждаят от сложни движения на зъбите

Прозрачните алайнери могат да бъдат отличен избор за отговорни тийнейджъри, които ги носят последователно и поддържат добра орална хигиена.

Клиничната оценка определя коя опция ще предостави най-безопасния и предсказуем резултат.

Видими ли са прозрачните алайнери при говорене?

Прозрачните алайнери са изработени от пластмаса от медицински клас, която ги прави значително по-малко видими от брекетите.

Повечето хора няма да ги забележат при нормален разговор.

Някои пациенти усещат леко фъфлене през първите няколко дни, но говорът обикновено се нормализира много бързо, когато езикът се адаптира.

Това е една от причините много професионалисти да избират алайнери за работна среда.

Брекетите вредят ли на зъбите?

Самите брекети не вредят на зъбите.

Но лошата устна хигиена по време на лечението може да доведе до:

  • натрупване на плака
  • бели петна по емайла
  • кариеси около брекетите

С правилно миене, използване на конец и редовни стоматологични прегледи, брекетите са безопасни и много ефективни.

Вашият зъболекар ще ви даде подробни инструкции за хигиена през целия период на лечение.

Как зъболекарите решават дали алайнерите или брекетите са по-подходящи?

Решението се основава на детайлен клиничен анализ, който включва:

  • 3D дигитални сканирания на зъбите
  • връзката на захапката между горна и долна челюст
  • степен на ротация и струпване на зъбите
  • състояние на венците и костта
  • начин на живот и дисциплина на пациента

Индивидуалният план за лечение гарантира, че избраният ортодонтски метод предоставя както функционална корекция на захапката, така и дългосрочна стабилност.

Дентална клиника VIDENT в Антверпен - Белгия

Д-р Виктор Петров

Зъболекар, Имплантология, Орална хирургия, Цялостна орална рехабилитация

Специалност: Орална хирургия и имплантология

Опит: 12 години

Образование: Магистър (MSc) по имплантология, Магистър (MSc) по орална хирургия, множество сертификати по имплантология, костна аугментация, пародонтална хирургия.

Експертиза: Поставяне на зъбни импланти, цялостна рехабилитация на устната кухина с импланти, костни аугментации, регенерация на меките тъкани, лечение на гингивални рецесии, костни аугментации с помощта на автогенни костни блокове и частици, корони и мостове, дигитална дентална медицина, дизайн на усмивката (smile design).

Поискайте обратно обаждане – ние ще се погрижим за останалото

Оставете вашите данни и нашият екип ще се свърже с вас, за да уговорим час.

Вашият коментар

Вашият имейл адрес няма да бъде публикуван. Задължителните полета са отбелязани с *