Guide de décision rapide
Si vous essayez de choisir entre des aligneurs transparents (comme Invisalign) et des bagues traditionnelles, voici la version courte :
- Aligneurs transparents : idéals pour les problèmes d’alignement légers à modérés, les adultes et les professionnels qui souhaitent une solution presque invisible.
- Bagues : souvent meilleures pour les problèmes d’occlusion complexes, l’encombrement sévère ou les rotations dentaires importantes.
- Rapidité : les deux traitements durent généralement 12 à 24 mois, selon la complexité.
- Confort : les aligneurs sont plus lisses et amovibles ; les bagues nécessitent plus d’ajustements.
- Stabilité à long terme : les deux fonctionnent aussi bien si des contentions sont portées après le traitement.
- Coût à Anvers : généralement 3 000 € à 6 500 €, selon la complexité.
La vraie question n’est pas « Lequel est le meilleur ? »
La vraie question est « Lequel est le meilleur pour vos dents spécifiques, votre mode de vie et la stabilité à long terme de votre sourire ? »
Pourquoi les patients à Anvers ont du mal à choisir entre les aligneurs transparents et les bagues
Choisir un traitement orthodontique semble souvent accablant. De nombreux patients arrivent à la clinique après des heures de recherches en ligne qui les ont laissés plus confus que confiants.
Ils veulent un sourire droit — mais ils veulent aussi de la certitude.
Pourquoi la décision est plus complexe que ce que la plupart des sites expliquent
La plupart des sites web simplifient l’orthodontie en une bataille marketing : aligneurs vs bagues.
En réalité, la décision dépend de plusieurs facteurs biologiques et liés au mode de vie :
- Position et rotation des dents
- Relation d’occlusion entre les dents supérieures et inférieures
- Densité osseuse et santé gingivale
- Discipline du patient et habitudes quotidiennes
- Âge et stade de croissance
Deux patients ayant des dents tout aussi mal alignées peuvent nécessiter des traitements complètement différents.
Les 7 plus grandes questions que les patients posent avant de commencer un traitement orthodontique
Lorsque les patients visitent notre clinique à Anvers, leurs préoccupations sont étonnamment similaires :
- Les aligneurs fonctionneront-ils pour mon cas ?
- Les bagues sont-elles plus rapides ?
- Quelle option fait le plus mal ?
- À quel point les bagues sont-elles visibles aujourd’hui ?
- Que se passe-t-il si les dents bougent à nouveau plus tard ?
- Combien coûtera le traitement ?
- Le traitement interférera-t-il avec le travail ou la vie sociale ?
Chaque question touche une peur plus profonde : faire le mauvais choix et le regretter plus tard.
Mythes courants que les patients entendent à propos d’Invisalign et des bagues
Les patients entendent souvent des conseils contradictoires de la part d’amis ou des réseaux sociaux.
Les mythes courants incluent :
- « Les aligneurs ne fonctionnent que pour de petites corrections. »
- « Les bagues fonctionnent toujours plus vite. »
- « L’orthodontie est uniquement pour les adolescents. »
- « Les dents bougent toujours après le traitement. »
La vérité est plus nuancée — et la comprendre vous aide à éviter des décisions qui affectent votre sourire pendant des décennies.
Pourquoi le mauvais choix peut affecter votre sourire pendant des décennies
Le traitement orthodontique modifie la structure osseuse, la position des dents et la fonction de l’occlusion.
Si le plan est mal conçu ou la méthode inadaptée, des problèmes peuvent apparaître des années plus tard :
- Déséquilibre de l’occlusion
- Usure dentaire
- Inconfort de la mâchoire
- Récidive de l’encombrement
L’objectif n’est pas seulement d’avoir des dents droites aujourd’hui.
L’objectif est un sourire stable à vie.
Ensuite, comprenons comment chaque système fonctionne réellement.
Que sont exactement les aligneurs transparents et comment déplacent-ils les dents ?
Beaucoup de personnes considèrent les aligneurs comme de simples gouttières en plastique.
En réalité, ce sont des dispositifs orthodontiques hautement sophistiqués.
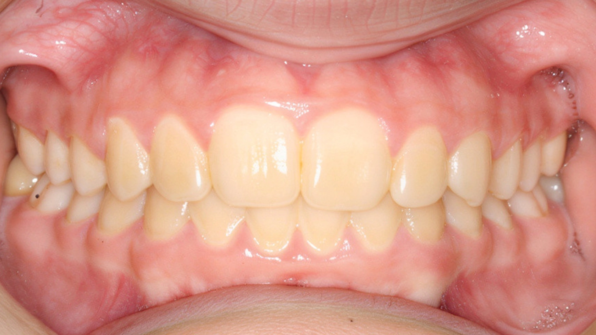
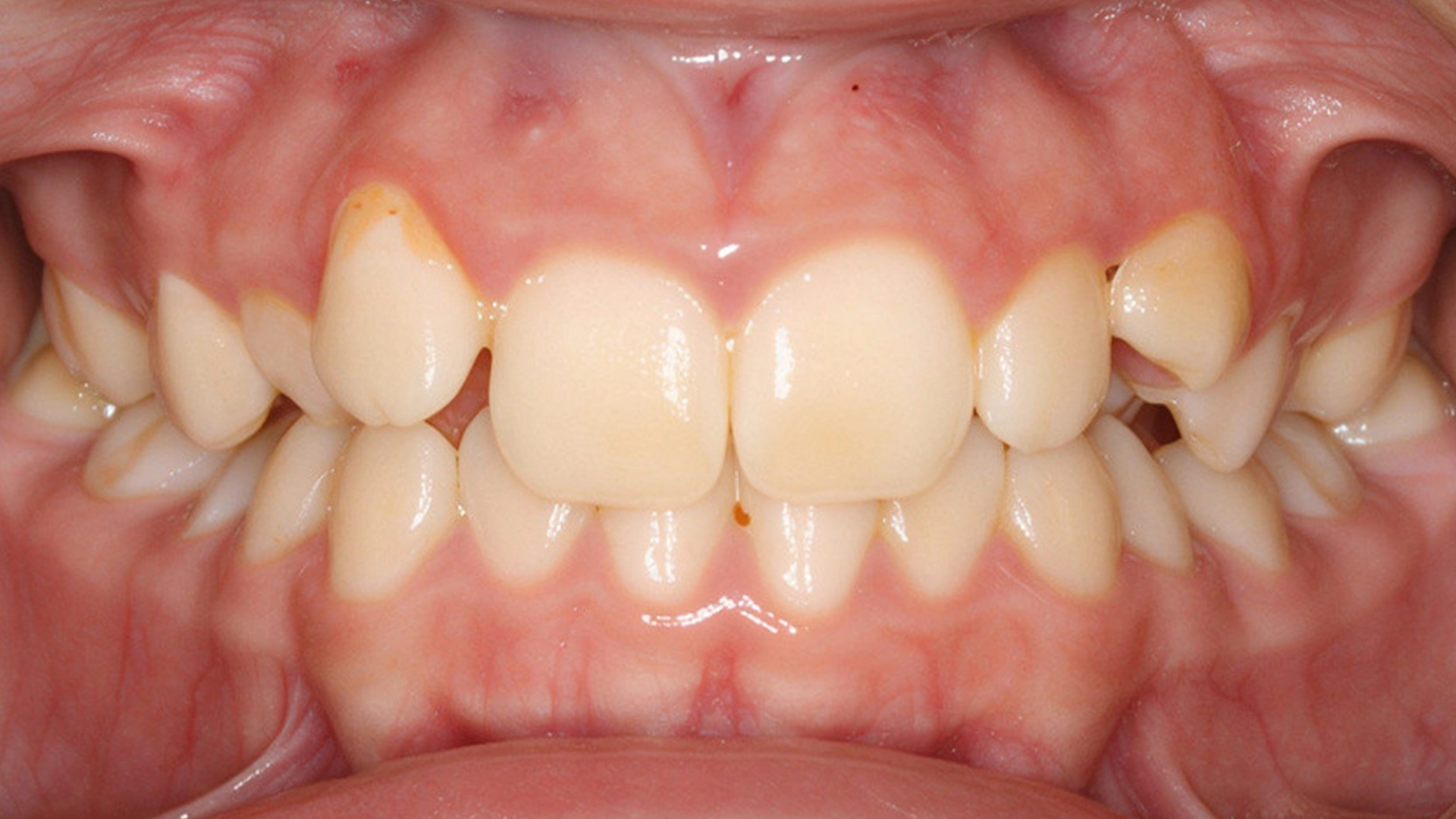
Avant & Après — Résultats réels de patients
Avec une planification orthodontique adéquate, les patients obtiennent des transformations de sourire belles et stables qui durent toute une vie.


FAQ
Les aligneurs transparents sont-ils aussi efficaces que les bagues ?
Oui, les aligneurs transparents peuvent être aussi efficaces que les bagues pour de nombreux cas orthodontiques, en particulier pour l’encombrement léger à modéré, les espaces et les problèmes mineurs d’occlusion.