Precision Driven Dental Regeneration by Dr. Viktor Petrov
At VIDENT Antwerp, we bring a new standard of biological tooth replacement: fully digital, minimally invasive autotransplantation performed by the renowned dental surgeon Dr. Viktor Petrov.
This procedure offers patients a natural, living, and long-lasting alternative to implants, powered by cutting-edge digital planning and biologically optimized execution.
A Natural, Living Tooth Instead of an Artificial One
Unlike implants or prosthetics, autotransplantation uses your own tooth, usually a wisdom tooth or premolar, to replace a missing or non-restorable tooth.
Key advantages include:
At VIDENT, this biological potential is elevated through a 100% digital workflow, ensuring accuracy that surpasses traditional protocols.
Dr. Viktor Petrov has developed a highly controlled digital protocol that transforms autotransplantation into a predictable and minimally invasive procedure. Our process includes:
We capture ultra-precise anatomical data from the donor and recipient sites. This allows us to measure roots, bone density, angulation, and morphological compatibility in microns.
Advanced software analyzes root morphology and checks how well the donor tooth fits into the target socket. This dramatically reduces surgical guesswork.
A custom resin replica of the donor tooth is printed to shape the socket before the real tooth is extracted.
This significantly reduces extraoral time, one of the most critical success factors.
Dr. Petrov’s microsurgical technique minimizes trauma to root surfaces, preserving periodontal ligament cells essential for healing and reattachment.
The transplanted tooth is stabilized with a soft, biologically friendly splint. Regenerative biomaterials may be used to enhance periodontal healing.
VIDENT uses digital tracking to monitor root healing, bone regeneration, and functional integration during the months following the procedure.
Expertise That Reduces Risk and Elevates Success**
Dr. Petrov is known for his refined digital autotransplantation protocol, combining:
His meticulous workflow minimizes root damage, reduces chair time, and maximizes long-term periodontal stability.
Dentist, Implantology, Oral Surgery, Complete Oral Rehabilitation
Specialty: Oral surgery and implantology
Experience: 12 years
Education: MSc in implantology, MSc in oral surgery, numerous certificates in implantology, bone augmentation, periodontal surgery
Expertise: Placing dental implants, full mouth rehabilitations with implants, bone augmentations, soft tissue regenerations, recessions, bone augmentations using autogenous bone blocks and particles, crowns and bridges, digital dentistry, smile design
Leave your details and our team will contact you to schedule your appointment.
Autotransplantation is ideal for patients who:
VIDENT performs a comprehensive digital assessment to determine suitability with exceptional accuracy.

This is not traditional dentistry. It is precision engineered biological regeneration.
Whether you are replacing a lost tooth or avoiding an implant, autotransplantation may be the most natural long-term solution.
VIDENT Antwerp invites you to a digital diagnostic session, where Dr. Petrov evaluates your anatomy, donor tooth, and treatment suitability using our advanced digital ecosystem.
Rediscover your smile, powered by nature and perfected by digital science.
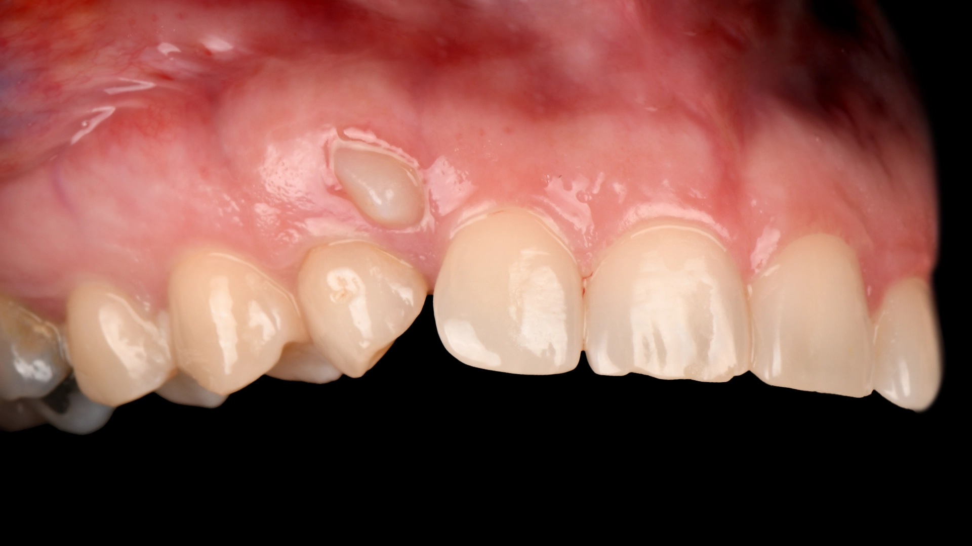
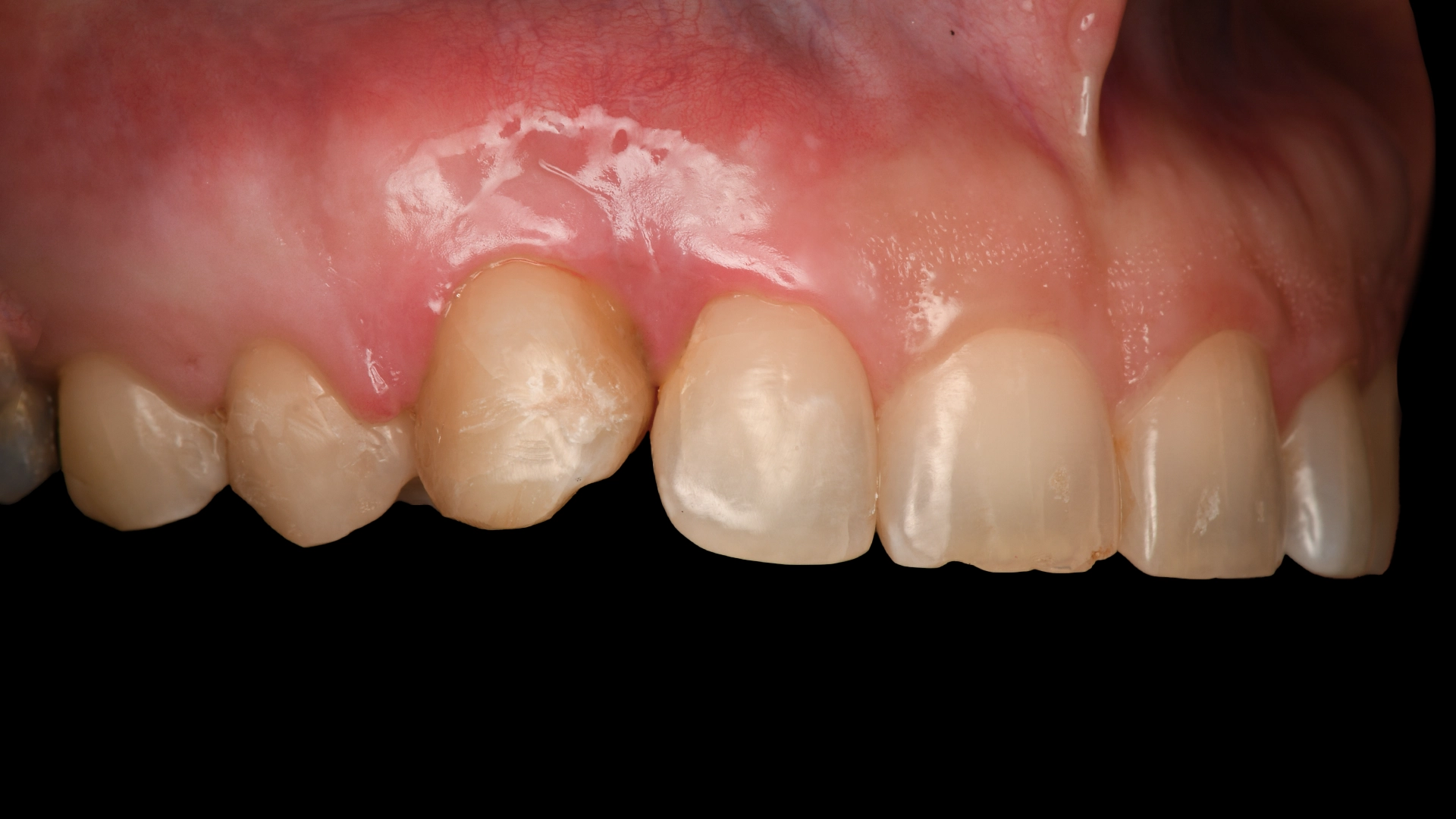
Tooth autotransplantation is a surgical procedure in which a natural tooth from one position in your mouth, typically a wisdom tooth or premolar, is moved to replace a missing or severely damaged tooth. Unlike dental implants, the transplanted tooth is a living biological structure that preserves the periodontal ligament, allowing natural bone remodeling and sensory feedback.
At VIDENT Antwerp, this procedure is performed using a fully digital workflow by Dr. Viktor Petrov, which significantly improves precision and predictability.
Autotransplantation and dental implants serve different purposes, but in suitable cases autotransplantation can offer unique biological advantages.
Because the transplanted tooth remains a living structure, it can maintain natural bone remodeling, periodontal ligament function, and chewing sensitivity. This makes it particularly beneficial for younger patients or individuals with suitable donor teeth.
Dental implants remain an excellent option when no donor tooth is available, but autotransplantation can provide a more natural long-term solution when conditions allow.
A patient may be a good candidate if they have:
At VIDENT Antwerp, a digital evaluation using CBCT imaging and intraoral scanning allows Dr. Viktor Petrov to determine candidacy with high accuracy.
Scientific literature reports success rates between 80% and 95% when the procedure is carefully planned and performed.
Success depends on several critical factors including preservation of the periodontal ligament, minimizing extraoral time, accurate socket preparation, and proper stabilization.
The digital workflow used at VIDENT Antwerp helps optimize these variables and improves the predictability of the procedure.
Autotransplantation is typically performed under local anesthesia, and patients do not feel pain during the procedure.
After surgery, mild swelling or discomfort may occur for a few days, similar to other dental surgical procedures. Most patients manage post-operative symptoms easily with standard pain relief medication and proper aftercare instructions.
Initial healing usually takes one to two weeks, during which the transplanted tooth is stabilized with a temporary splint.
Full biological integration and bone remodeling may take several months. During this time, periodic follow-up visits are scheduled to monitor healing and ensure optimal periodontal attachment.
Digital planning dramatically increases precision and reduces surgical risk.
At VIDENT Antwerp, CBCT imaging and intraoral scans are used to create a 3D model of the donor tooth and recipient site. A 3D printed replica of the tooth is then used to prepare the socket before extraction.
This approach minimizes extraoral time and protects the periodontal ligament, which is one of the most critical factors for long-term success.
Yes. In many cases, a wisdom tooth can function effectively as a replacement tooth after transplantation.
If the root shape and size are compatible with the recipient site, the transplanted tooth can integrate with the surrounding bone and function similarly to a natural tooth.
A detailed digital analysis at VIDENT Antwerp determines whether the donor tooth is suitable for transplantation.
When successful, a transplanted tooth can function for many years and sometimes for decades.
Because the tooth remains biologically active and connected to the periodontal ligament, it can adapt to the surrounding bone and gum tissue over time.
Long-term success depends on proper case selection, surgical precision, and good oral hygiene.