You’re not here by accident.
If you’re reading this, you’ve probably been living with a missing tooth—or several—for longer than you originally expected. You may have received different opinions from different dentists. You may be unsure what implant treatment actually involves, how long it takes, or whether the final result will truly feel like your own teeth.
This situation is familiar to us.
Over the past ten years, we have treated hundreds of patients who arrived with the same questions, the same doubts, and the same need for certainty before making a decision.
At VIDENT, implant treatment is not approached as a one‑day procedure, but as a precisely planned process. Nothing is improvised. Every step is defined in advance, explained clearly, and verified along the way.
This page is designed for one purpose:
to show you—calmly and transparently—how dental implant treatment works at Vdent, step by step, so you can understand exactly what to expect before anything begins.
In many dental practices, implants are handled as a standalone procedure.
The surgical step is completed—but everything surrounding it remains fragmented.
Over time, we noticed a recurring pattern among patients who came to us for consultations or second opinions. They were often left feeling:
These experiences are rarely caused by a lack of skill.
They are the result of a system that focuses on isolated procedures instead of the entire outcome.
At VIDENT, we deliberately designed a different model.
Implant treatment here is approached as a single, coordinated process—where planning, aesthetics, functionality, and communication are aligned from the very beginning.
Every step is connected. Every decision is explained. And nothing moves forward without a shared understanding of the final objective.
Patients come to VIDENT for implant treatment for a simple reason: they value clarity over claims.
Implant care here is built around precise planning, experienced execution, and outcomes that can be predicted—not guessed.
Every implant case at VIDENT follows a documented protocol.
Every surgical step is digitally planned and rehearsed before the procedure.
Every provisional restoration is prepared in advance.
On the day of surgery, nothing is left to chance.
During your first visit, you receive a complete written treatment plan.
It outlines the exact steps involved, the full cost, and a clear timeline from start to finish.
This is simply how we work.
Not because it sounds impressive, but because structure and transparency remove the single biggest source of dissatisfaction in implant treatment: uncertainty.

Your first appointment at VIDENT is not a sales discussion.
It is a diagnostic and planning session.
We begin with a clinical examination and a 3D cone‑beam CT scan. This scan allows us to assess the exact bone volume and density at the implant site, identify the position of nerves and sinuses, and determine whether any preparatory procedures are required.
Using digital planning software, we then design the implant virtually.
The optimal position, angle, depth, and diameter are defined before any surgical work begins.
You see this plan on screen.
We explain every decision and answer every question before moving forward.
By the end of this appointment, you receive:
If bone grafting is required, we explain why, what it involves, and how it affects timing.
If immediate placement is possible, that is confirmed as well.
Nothing is assumed. Everything is documented.
You leave this visit knowing exactly what will happen, when it will happen, and what it will cost.

Many patients assume they will leave the clinic without teeth on surgery day.
At VIDENT, that is not the case.
Based on your digital treatment plan, a temporary crown or bridge is fabricated in advance. This provisional restoration is placed on the same day as the implant.
Before the procedure:
During the procedure:
After placement:
You leave the clinic the same day with a functional, natural‑looking tooth.
Unless you choose to mention it, no one will know you’ve had surgery.
This is the most critical phase of treatment, and it happens largely on its own.
Over the next 8 to 12 weeks, the implant bonds with your bone through a natural process called osseointegration. Your body does the work.
During this period:
One brief check‑up is scheduled midway through healing.
This 15‑minute appointment allows us to verify progress and address any questions.
By the end of this phase, the implant is fully integrated and functions like a natural tooth root.
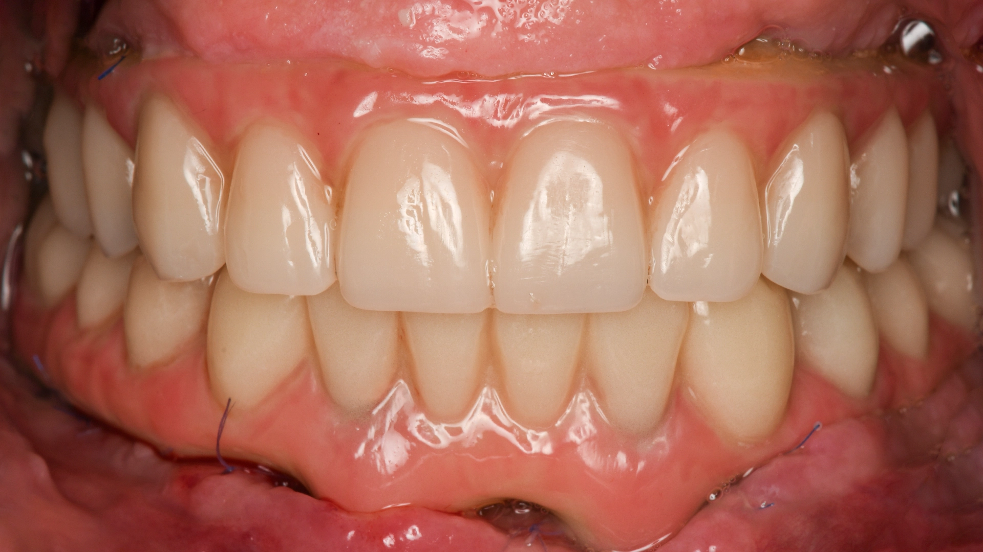
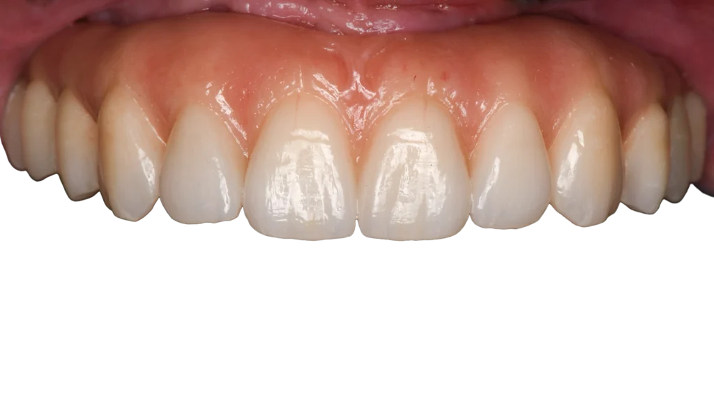
Once healing is complete, your final crown or bridge is fabricated.
It is custom‑made in a certified dental laboratory to match the color, shape, and translucency of your natural teeth. The restoration is designed for proper force distribution and a precise fit with the surrounding gums.
This final visit includes:
Many patients describe this moment as quietly emotional—not dramatic, but deeply relieving.
After months or years of adapting to a gap, a removable solution, or a restoration that never felt right, you simply stop thinking about the tooth.
One 52‑year‑old teacher from Antwerp wrote to us six months after her treatment:
“I forgot it was even an implant. That’s how normal it feels.”
That is the standard we aim for.
Not perfection that draws attention—but a result that disappears into everyday life.
At VIDENT, the cost of a single dental implant—including surgical placement, a provisional restoration, and the final crown—typically ranges from €2,200 to €2,900, depending on clinical complexity.
This range reflects factors such as bone quality, implant position, and prosthetic requirements.
Additional procedures, such as bone grafting or sinus lifting, may be required in certain cases.
If so, these are identified during your consultation—not during treatment—and included in your written treatment plan.
There are no unexpected additions once treatment has begun.
Belgian health insurance may reimburse a portion of implant treatment, depending on your individual policy.
We provide all necessary documentation to support reimbursement claims.
We do not offer payment plans.
What we do offer is complete financial clarity.
Before any treatment starts, you receive:
You know the cost before the first step is taken.
At VIDENT, we’ve helped hundreds of patients who once believed they had run out of options.
Patients who were told they were not suitable for implants.
Patients who felt resigned to removable or temporary solutions.
Patients who wanted something definitive — but didn’t know where to start.
If any of that sounds familiar, you’re in the right place.
Your transformation doesn’t begin in the treatment room.
It begins with a conversation.
Speak with our team and take the first step — comfortably, confidently, and entirely on your terms.
Dentist, Implantology, Oral Surgery, Complete Oral Rehabilitation
Specialty: Oral surgery and implantology
Experience: 12 years
Education: MSc in implantology, MSc in oral surgery, numerous certificates in implantology, bone augmentation, periodontal surgery
Expertise: Placing dental implants, full mouth rehabilitations with implants, bone augmentations, soft tissue regenerations, recessions, bone augmentations using autogenous bone blocks and particles, crowns and bridges, digital dentistry, smile design
Leave your details and our team will contact you to schedule your appointment.
Where I walked in months ago with fear was completely gone in a few minutes. Very good dentist gives good explanations and knows his trade. I am now being treated for 2 implants and everything is perfect. Highly recommended.
Excellent professional. Every consultation was perfect and painless. Very satisfied with the final result of my dental implant. Assistants are friendly and professional.
For the moment, I have my temporary teeth on implants on top (so I'm not walking around toothless as I feared 🥳). I'm really so happy with this dentist (he's really super good, in my opinion, an expert at his work! (He works really focused … More
Very satisfied with this practice. I ended up here with an urgent problem, and I didn't hesitate to become a patient. The welcome was very warm. I had implants placed by Dr. Victor, which wasn't obvious to me. He reassured me and went … More
Very satisfied. Whether it's for a checkup, implant, or crown. Very professional and a fair price. Thanks to Victor, I have a radiant smile. And also a big shout-out to the super friendly Desi. TOP TEAM!!!
A very good professional and a person...Always willing to help....We are very satisfied🙂🙂😊😊A great dentist and person...Always listens, explains crowns, implants, he is the man...THANK YOU Dr. Viktor Petrov and Desislava Tsvetkova, you are great too....
Professional, hygienic, painless, and fast. Everything you could want from a dentist. You can also come here for implants and root canal treatments, all at a fair price and without a long wait.
This is usually the first real question behind most implant searches.
At VIDENT, implants are recommended only after:
If implants are not the best option for you, that will be clearly communicated.
The goal is the right decision—not the fastest one.
According to behavioral data and patient feedback, fear of failure is one of the strongest hidden objections.
Implant risks increase when:
At VIDENT, every implant case follows a documented, step‑by‑step protocol designed to minimize uncertainty and long‑term complications.
Most patients expect pain—but what they actually fear is loss of control.
In reality:
You are informed in advance about:
Nothing is left ambiguous.
This is one of the most searched implant-related questions in Belgium.
Having insufficient bone does not automatically eliminate implant options.
It means treatment needs:
All of this is discussed before any treatment decision is made.
Timelines vary, but predictability matters more than speed.
A typical pathway may include:
At VIDENT, timelines are explained realistically—no overpromising, no last‑minute changes.
This concern appears frequently in eye‑tracking studies and session recordings.
A successful implant should:
Aesthetic design is considered from the first planning stage, not added later.
Longevity depends largely on:
While no medical treatment can guarantee lifetime performance, implants placed and restored correctly have very high long‑term success rates.
The priority is building something durable, not temporary.
Unexpected costs are one of the biggest reasons patients delay treatment.
At Vident:
You can move forward knowing the full picture—financially and clinically.
Not all implant treatments are equal.
Cost differences usually reflect:
Lower prices often reduce predictability, not just cost.
This is a frequent search but rarely explained clearly.
Delaying replacement can lead to:
Early evaluation does not mean immediate treatment—it simply preserves options.