Phone hours: Mon–Fri, 9:30–12:00 & 13:00–16:00.

The True Lifespan of a Dental Implant, What Determines How Long It Really Lasts, and How to Make a Predictable Long-Term Decision

What You Will Learn in This Article

Estimated reading time: ~9 minutes

Dental implants are not the right solution for everyone who simply wants one — but they may be the most durable solution ever created for the human mouth.

The goal of this guide is simple: help you understand how long dental implants truly last, what determines their longevity, and how to make a predictable long-term decision you will never regret.

The “Executive Summary” for Your Smile

  • Lifespan: With elite clinical standards, dental implants are designed to last 25 years to a lifetime.
  • Success Rate: Modern biological protocols yield a 98% success rate.
  • The “Secret” Variable: Longevity isn’t just about the implant; it’s about the bone health and precision of the bite.
  • The VIDENT Difference: We use 3D digital twinning to eliminate “surgical guesswork,” protecting your investment for the long haul.

The key insight most patients miss: an implant isn’t just a tooth replacement — it’s a long-term biological investment in the structure of your face and jaw.

Understanding longevity protects your smile, your investment, and your confidence for decades to come.

Wondering how long a dental implant will last in your specific case?

Schedule your personal implant longevity evaluation at VIDENT Antwerp — no commitment, just clarity.

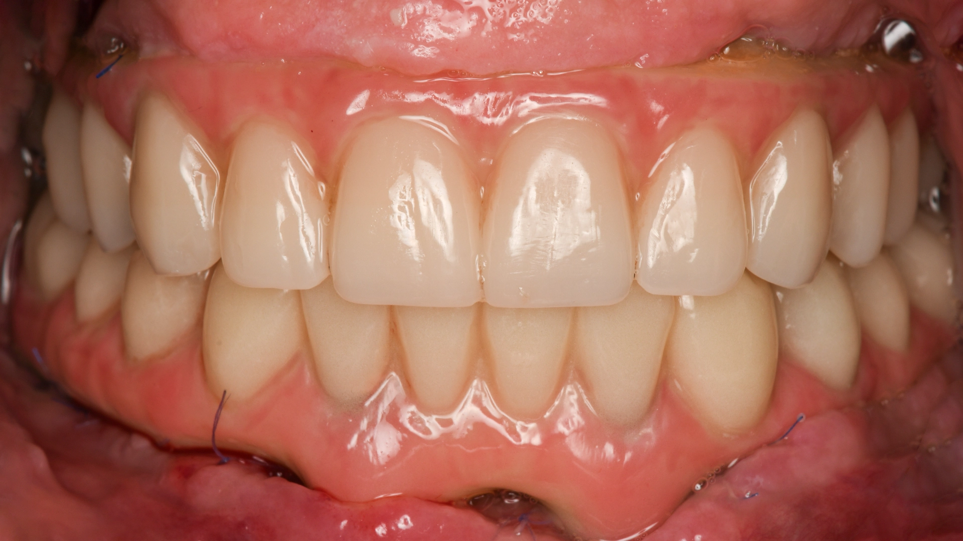
After dental implant – natural smile result at VIDENT Antwerp
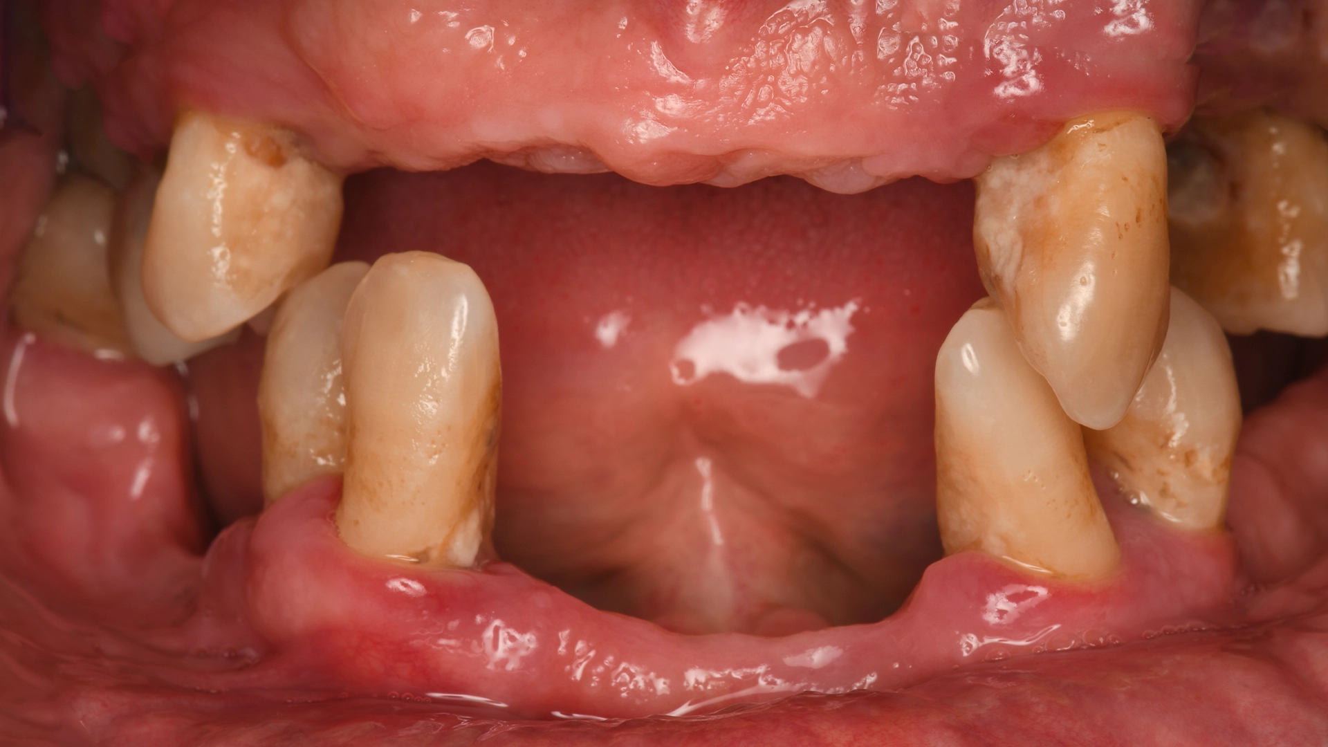
Before dental implant – missing or damaged teeth
Before After

after 5 years follow up

How Long Do Dental Implants Really Last?

What is the average lifespan of a dental implant?

Technically, a dental implant is a titanium or ceramic “root.” In a healthy environment, this root should last 25 years or more. While the crown on top may face wear and tear (just like natural teeth), the foundation is built for extreme durability.

Can a dental implant last 20, 30, or even 40 years?

Yes. Clinical history shows patients who received implants in the 1980s are still using them today. The key is osseointegration — the process where your living bone fuses with the implant. Once this bond is locked, it becomes part of your biological blueprint.

Are dental implants truly permanent?

In the world of medicine, “permanent” is a bold word. However, dental implants are the closest the dental industry has ever come to a permanent solution. Unlike a hip replacement that may wear out due to friction, an implant sits statically in the jaw, making it incredibly resilient to the passage of time.


What do long-term clinical studies say about implant survival rates?

Meta-analyses of decade-long studies consistently show survival rates between 95% and 98%. This makes dental implants the most successful prosthetic transplant in human history.

Do implants last longer than crowns, bridges, or dentures?

Absolutely. A traditional bridge lasts 7–10 years because it stresses the “anchor” teeth. Dentures lose their fit as the jawbone shrinks. Implants are the only option that actually preserves the bone, stopping the aging process of your face in its tracks.


What Determines How Long a Dental Implant Will Last?

Bone quality and jawbone density

Think of an implant like a high-end architectural pillar. If the soil (your bone) is soft or thin, the pillar won’t hold. We use CBCT 3D imaging to measure your bone density to the millimeter before we even begin.

The surgical technique used during implant placement

The brain values precision. If an implant is placed even 1mm off-center, the “bite force” will be uneven, leading to eventual failure. This is why “blind” surgery is a risk of the past; we use fully guided navigation.

Implant material and manufacturer quality

Not all titanium is equal. We use Grade 5 Medical Titanium and premium systems that have 30+ years of research behind them. Avoiding “generic” implants is the first step in loss aversion.

The experience of the implant dentist

Precision is a skill honed over thousands of cases. An expert understands the “biology of healing,” not just the mechanics of a drill.

Bite force and chewing habits

If you grind your teeth (bruxism), you are putting 250 pounds of pressure on your implants. We analyze your occlusion (how teeth meet) to ensure the implant isn’t “overloaded.”

Oral hygiene and daily maintenance

The implant cannot get a cavity, but the gums around it can get infected. Daily flossing is the “insurance policy” for your $3,000 investment.

Smoking and lifestyle factors

Smoking reduces blood flow to the bone. It doesn’t mean you can’t have an implant, but it does mean we need a specialized healing protocol to ensure the bone “takes.”

General health conditions (diabetes, immune disorders)

Systemic health matters. We coordinate with your GP if you have conditions like diabetes to ensure your body has the “regenerative capital” to heal.


What Causes Dental Implants to Fail?

Early implant failure (first months)

This usually happens because the bone didn’t fuse (failure to integrate). It is often caused by micro-motions or pre-existing infections that weren’t cleared.

Late implant failure (years later)

This is almost always due to mechanical overload (poor bite) or biological infection (bacteria).

Peri-implantitis: the most common long-term risk

This is the “silent killer” of implants. It’s an inflammatory disease that eats away the bone. The danger? It doesn’t hurt until it’s almost too late. This is why our Maintenance Program is non-negotiable.

Bone loss around dental implants

If the body senses the implant is a “foreign object” due to poor quality materials or bad positioning, it will pull the bone away. We use biocompatible surfaces to prevent this “rejection” response.

Bite overload and mechanical complications

If the crown is too high, every time you chew, you are “hammering” the implant into the bone. This micro-trauma leads to failure.

Poor implant positioning

An implant placed too close to a nerve or another tooth will never be stable. Digital planning eliminates this human error.


Do Dental Implants Last Longer Than Other Tooth Replacement Options?

Implant vs. dental bridge lifespan

A bridge requires grinding down two healthy teeth. You are sacrificing two teeth to save one. Statistically, bridges fail when the anchor teeth get cavities. Implants protect your surrounding teeth.

Implant vs. dentures lifespan

Dentures need to be relined or replaced every 3–5 years as your jawbone “melts” away. Over 20 years, you will spend more on denture maintenance and adhesives than a single implant.

Long-term cost comparison over 20 years

Option Initial Cost 20-Year Maintenance Total “Cost of Ownership”
Dental Implant Higher Low (Cleanings) Lowest
Bridge Medium Replacement (2x) High
Dentures Lower Relines & Replacements High + Bone Loss

How to Make a Dental Implant Last 20+ Years

Professional implant planning with 3D imaging

We “perform” your surgery on a computer before we ever touch your mouth. This predictability is what the brain craves.

Choosing high-quality implant systems

We only use brands that have a “Global Warranty.” If you are in New York or Tokyo and need a part, it will be available.

Regular implant check-ups and professional cleaning

We use specialized ultrasonic scales that clean the implant without scratching the titanium. Regular hygiene is the difference between a 5-year and a 50-year lifespan.

Protecting implants from grinding with night guards

If you are a “high-stress” achiever, a custom night guard is the “helmet” for your smile.


Why Patients in Antwerp Choose VIDENT for Long-Lasting, Predictable Dental Implants

At VIDENT, we have eliminated the “fear of the unknown.” We don’t just “do” implants; we engineer long-term biological success.

  • Advanced 3D Diagnostics: We see what others miss. Your nerves, sinuses, and bone density are mapped in high definition.
  • Premium Only: We refuse to use “discount” components. We prioritize your biology over our profit margins.
  • The VIDENT Shield Program: A specific maintenance protocol designed to catch peri-implantitis before it starts.
  • A Clinical Philosophy of Precision: We believe that “good enough” is the enemy of “long-term.”

Right now, you might still be wondering: “How long will an implant actually last for me?”

The safest way to answer that question is a professional implant longevity evaluation.

During this visit, we analyze your bone, explain every option clearly, and map out what your future smile will look like before any treatment begins.

After dental implant – smile transformation at VIDENT Antwerp
Before dental implant – teeth needing implant evaluation
Before After

Where I walked in months ago with fear was completely gone in a few minutes. Very good dentist gives good explanations and knows his trade. I am now being treated for 2 implants and everything is perfect. Highly recommended.

★★★★★
– Melissa Molhoek

Excellent professional. Every consultation was perfect and painless. Very satisfied with the final result of my dental implant. Assistants are friendly and professional.

★★★★★
– Lisandra García

For the moment, I have my temporary teeth on implants on top (so I’m not walking around toothless as I feared 🥳). I’m really so happy with this dentist (he’s really super good, in my opinion, an expert at his work! (He works really focused … More

★★★★★
– Vera j

Very satisfied with this practice. I ended up here with an urgent problem, and I didn’t hesitate to become a patient. The welcome was very warm. I had implants placed by Dr. Victor, which wasn’t obvious to me. He reassured me and went … More

★★★★★
– Diesel Demunter (Petra)

Very satisfied. Whether it’s for a checkup, implant, or crown. Very professional and a fair price. Thanks to Victor, I have a radiant smile. And also a big shout-out to the super friendly Desi. TOP TEAM!!!

★★★★★
– Eddy Van Hinsbergh

A very good professional and a person…Always willing to help….We are very satisfied🙂🙂😊😊A great dentist and person…Always listens, explains crowns, implants, he is the man…THANK YOU Dr. Viktor Petrov and Desislava Tsvetkova, you are great too….

★★★★★
– Maria Sofronieva

Professional, hygienic, painless, and fast. Everything you could want from a dentist. You can also come here for implants and root canal treatments, all at a fair price and without a long wait.

★★★★★
– Veronique I

Ready to take the first step toward a lifetime of confidence?

Let our experienced implant specialists evaluate your bone, your bite, and build a personalized long-term plan for your smile.

Frequently Asked Questions

1. How long do dental implants actually last?

Dental implants are designed to be a long-term tooth replacement solution. Clinical studies show that modern implants have a success rate of around 95–98% after 10 years. The titanium implant itself can often last 20–30 years or even a lifetime when the surrounding bone remains healthy and oral hygiene is maintained. The crown attached to the implant may need replacement after 10–15 years, just like a crown on a natural tooth. With proper planning, healthy bone, and regular dental check-ups, many patients keep the same implant for decades.

2. Can a dental implant last a lifetime?

Yes, in many cases it can. The implant is made from biocompatible titanium, which integrates with the jawbone through a process called osseointegration. Once this bond forms, the implant becomes extremely stable. However, long-term success depends on factors such as:

  • gum health
  • bone stability
  • bite forces
  • daily oral hygiene

When these conditions are well controlled, implants can remain functional for the rest of a patient’s life.

3. What is the main reason dental implants fail?

The most common cause of long-term implant failure is peri-implantitis. Peri-implantitis is an inflammatory infection around the implant that causes progressive bone loss. It is similar to gum disease around natural teeth. If untreated, the supporting bone slowly disappears and the implant can become loose. Risk factors include:

  • poor oral hygiene
  • smoking
  • uncontrolled diabetes
  • irregular dental checkups

Early detection through professional maintenance visits can usually prevent this problem.

4. Do dental implants require special cleaning?

Dental implants do not get cavities, but the gums and bone around them must remain healthy. Daily care should include:

  • brushing twice a day
  • flossing or using interdental brushes
  • antibacterial mouth rinse if recommended

Professional cleanings are also essential because dentists use implant-safe instruments that remove plaque without damaging the titanium surface. Consistent oral hygiene is one of the strongest predictors of long-term implant survival.

5. Are dental implants stronger than natural teeth?

Dental implants are extremely strong, but they function differently from natural teeth. Natural teeth are connected to bone by the periodontal ligament, which acts as a shock absorber. Implants are directly fused to bone. This means implants can tolerate strong chewing forces, but they must be carefully positioned and balanced with the bite. When properly designed, implants allow patients to eat normally — including foods like apples, steak, and nuts.

6. How often should dental implants be checked by a dentist?

Most implant specialists recommend a professional check-up every 6 months. During these visits, the dentist evaluates:

  • gum health around the implant
  • bone stability on X-rays
  • bite pressure distribution
  • crown condition

These examinations allow clinicians to detect early signs of peri-implantitis or mechanical wear before they become serious. Preventive monitoring dramatically increases the chance that the implant will last 20 years or longer.

7. Do smokers have a higher risk of implant failure?

Yes. Smoking reduces blood circulation to the gums and bone, which slows healing and weakens the immune response. Research shows that smokers may have a significantly higher risk of implant complications, particularly during the healing phase. However, implants can still succeed in smokers when:

  • the surgical protocol is adjusted
  • oral hygiene is excellent
  • smoking is reduced during healing

Many dentists recommend temporarily stopping smoking for at least two weeks before and after surgery.

8. Can dental implants fail years after they were placed?

Yes, although it is uncommon. Late implant failure can occur years after successful integration due to:

  • chronic gum infection (peri-implantitis)
  • excessive bite forces
  • mechanical wear of components
  • bone loss over time

Regular dental monitoring helps detect these issues early. With proper care and professional maintenance, most implants remain stable and functional for several decades.

9. Are dental implants a better long-term investment than bridges or dentures?

For many patients, yes. Traditional dental bridges typically last 7–12 years, while removable dentures often require adjustments or replacement every 5–8 years due to bone shrinkage. Dental implants help preserve jawbone density, which protects facial structure and oral health. Although the initial cost may be higher, implants often provide the lowest long-term cost of ownership because they require fewer replacements over time.

10. What makes VIDENT different when it comes to long-lasting implants?

At VIDENT Antwerp, we engineer long-term biological success — not just short-term cosmetic results. Our approach includes:

  • Advanced 3D Diagnostics: We see what others miss — nerves, sinuses, and bone density mapped in high definition.
  • Premium-Only Systems: We use Grade 5 Medical Titanium and implant brands with a global warranty and 30+ years of research.
  • The VIDENT Shield Program: A dedicated maintenance protocol to catch peri-implantitis before it starts.
  • A Philosophy of Precision: We believe “good enough” is the enemy of “long-term.” Every millimeter matters.
VIDENT Dental Clinic in Antwerp - Belgium

Dr. Viktor Petrov

Dentist, Implantology, Oral Surgery, Complete Oral Rehabilitation

Specialty: Oral surgery and implantology

Experience: 12 years
Education: MSc in implantology, MSc in oral surgery, numerous certificates in implantology, bone augmentation, periodontal surgery

Expertise: Placing dental implants, full mouth rehabilitations with implants, bone augmentations, soft tissue regenerations, recessions, bone augmentations using autogenous bone blocks and particles, crowns and bridges, digital dentistry, smile design

Request Your Call Back — We’ll Take Care of the Rest

Leave your details and our team will contact you to schedule your appointment.

Leave a Reply

Your email address will not be published. Required fields are marked *