Geavanceerde Implantologie voor Gevallen die Absolute Precisie Vereisen
VIDENT | Dr. Petrov – Implantoloog | Antwerpen, België
Tandimplantaatbehandelingen zijn nooit uitsluitend van klinische aard.
Als u deze pagina leest, bent u niet simpelweg op zoek naar een tandimplantaat.
U bent op zoek naar zekerheid.
Zekerheid dat uw geval al eerder is voorgekomen.
Zekerheid dat er een duidelijk, gestructureerd plan bestaat — geen aannames of giswerk.
Zekerheid dat elke variabele ruim vóór de start van de behandeling is geëvalueerd.
En bovenal, zekerheid dat u de complexiteit niet alleen hoeft te dragen.
Bij VIDENT zijn complexe implantaatgevallen geen uitzondering binnen ons werk — ze vormen een kernonderdeel van wat wij doen.
Patiënten komen bij ons nadat hen is verteld dat zij onvoldoende bot hebben, geavanceerde botopbouw nodig hebben, of dat hun geval “te ingewikkeld” is. Wij herkennen niet alleen de technische uitdagingen achter deze woorden, maar ook het emotionele gewicht dat zij met zich meebrengen.
Dit is geen nieuwe start.
Dit is geen trial-and-error.
U stapt binnen in een systeem dat specifiek is ontworpen voor complexiteit — waar geavanceerde planning, specialistische expertise en precisiegedreven besluitvorming samenkomen om voorspelbaarheid te creëren, zelfs in de meest veeleisende gevallen.
Een complex implantaatgeval wordt niet bepaald door één enkel probleem.
Het wordt bepaald door de noodzaak van geavanceerde planning, specialistische uitvoering en absolute precisie.
De meeste complexe gevallen omvatten één of meerdere van de volgende situaties:
Jaren zonder tanden leiden van nature tot botverlies. Waar conventionele tandheelkunde beperkingen ziet, passen wij geavanceerde botopbouw- en regeneratieve technieken toe om de basis te herstellen die nodig is voor langdurige implantaatstabiliteit.
Gezond tandvlees is essentieel voor zowel functie als natuurlijke esthetiek. Wanneer de weefselkwaliteit of het volume onvoldoende is, herstelt specialistische zachtweefseltransplantatie de balans, beschermt implantaten en zorgt voor een naadloze integratie met uw glimlach.
In de bovenkaak, met name in het posterieure gebied, komt beperkte verticale bothoogte door de sinusanatomie vaak voor. Sinusliftprocedures stellen ons in staat om op veilige wijze de ruimte te creëren die nodig is voor stabiele implantaten, zonder de gezondheid of het comfort van de sinus in gevaar te brengen.
Wanneer meerdere of alle tanden ontbreken, maken volledige kaakoplossingen zoals All-on-4 of All-on-6 volledige glimlachrehabilitatie mogelijk met strategisch geplaatste implantaten — vaak zonder uitgebreide botopbouw en met maximale benutting van het aanwezige bot.
Eerdere implantaatmislukkingen sluiten verdere behandeling niet uit. Wij behandelen routinematig revisie- en reddingsgevallen, waarbij infecties, slechte implantaatpositionering of onvoldoende osseointegratie worden aangepakt via gestructureerde, evidence-based protocollen.
De gemeenschappelijke factor?
Elk van deze scenario’s vereist meer dan routinematige implantaatplaatsing.
Zij vereisen specialistische diagnostiek, minutieuze planning en ervaring met complexiteit — nog vóórdat één implantaat wordt geplaatst.
Complexiteit vereist geen snelheid.
Het vereist controle.
In tegenstelling tot conventionele implantaattrajecten die zich primair richten op het plaatsen van het implantaat, begint onze aanpak veel eerder — met de analyse van structuur, biologie, functie en langetermijnstabiliteit als één geïntegreerd systeem.
Als implantoloog benadert Dr. Petrov complexe implantaatgevallen vanuit het eindresultaat terug. Elke beslissing — van botregeneratie en zachtweefselmanagement tot precieze implantaatpositionering — wordt geleid door hoe uw tanden over jaren zullen functioneren, aanvoelen en eruitzien, niet alleen op de dag van de operatie.
Dit niveau van planning is essentieel in geavanceerde situaties zoals:
In dergelijke gevallen creëert haast risico.
Complexiteit vraagt geen urgentie.
Het vraagt structuur, vooruitziendheid en specialistisch geleide besluitvorming.
In veel complexe implantaatgevallen is onvoldoende botvolume de belangrijkste beperkende factor. Botverlies kan het gevolg zijn van langdurige tandafwezigheid, parodontale aandoeningen, trauma of eerdere mislukte behandelingen.
In plaats van implantaten te forceren in gecompromitteerde omstandigheden, richten wij ons eerst op het herstellen van het fundament.
Bij VIDENT is botopbouw:
Of het bottekort nu lokaal of uitgebreid is, de botopbouw wordt gepland met de uiteindelijke implantaatpositie in gedachten — niet andersom.
Het doel is niet simpelweg “voldoende bot”.
Het doel is het juiste bot, in het juiste volume, op de juiste plaats.
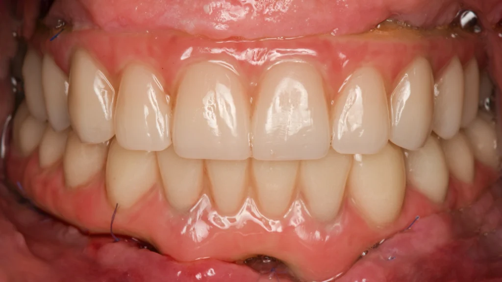
Deze filosofie verhoogt significant de levensduur van implantaten, functionele stabiliteit en esthetische uitkomsten — met name bij complexe gevallen en esthetisch zichtbare zones.
Complexe implantaatgevallen draaien zelden uitsluitend om bot.
De kwaliteit van het omliggende zachte weefsel speelt een cruciale rol bij:
Zachtweefseltransplantatie stelt ons in staat een omgeving te creëren waarin implantaten niet alleen stabiel zijn, maar ook biologisch beschermd.
Door zorgvuldig de tandvleesdikte, contour en weefselkwaliteit te verbeteren, verminderen we langetermijnrisico’s en verbeteren we de algehele harmonie van de glimlach — zonder de aandacht te vestigen op de behandeling zelf.
Het resultaat mag er nooit “behandeld” uitzien.
Het moet er natuurlijk, evenwichtig en onopvallend uitzien — in de best mogelijke zin.
In de bovenkaak, met name in het posterieure gebied, is beperkte bothoogte door de sinusanatomie een veelvoorkomende beperking bij implantaatbehandelingen.
Een sinuslift is niet simpelweg een technische procedure.
Het is een precisiegedreven biologische interventie waarbij millimeters van cruciaal belang zijn.
Bij VIDENT worden sinusliftprocedures alleen aanbevolen wanneer zij klinisch gerechtvaardigd zijn en worden zij minutieus gepland met behulp van geavanceerde beeldvorming en anatomische analyse. Het doel is om veilig de verticale bothoogte te creëren die nodig is voor langdurige implantaatstabiliteit — met volledig respect voor natuurlijke anatomische grenzen.
Wanneer geïntegreerd in een gestructureerd, specialistisch geleid behandelplan, stelt sinusaugmentatie veel patiënten die eerder te horen kregen dat zij “geen kandidaten” waren voor implantaten in staat om voorspelbare, functionele resultaten te bereiken.
De nadruk ligt nooit op méér doen.
Maar op alleen doen wat noodzakelijk is — en het correct doen.
Voor patiënten met uitgebreid tandverlies of falend gebit kan volledige kaakimplantaatrehabilitatie daadwerkelijk levensveranderend zijn — mits correct uitgevoerd.
Bij VIDENT bieden wij All-on-4 en All-on-6 implantaatoplossingen aan voor geschikte kandidaten, met een duidelijk onderscheid tussen marketingbeloften en klinische realiteit.
Onze aanpak is gericht op:
All-on-4 en All-on-6 zijn geen uitwisselbare oplossingen. De juiste keuze hangt af van botbeschikbaarheid, functionele eisen, bijtkrachten en de langetermijnprognose van elk individueel geval.
Door elke patiënt individueel te evalueren, zorgen wij ervoor dat de gekozen behandeling duurzaamheid, comfort en onderhoudsgemak ondersteunt — niet alleen snelheid of kortetermijngemak.

In tegenstelling tot wat vaak wordt gedacht, betekent complex niet onvoorspelbaar.
Het betekent dat het geval een clinicus vereist die weigert concessies te doen wanneer anatomische uitdagingen zich voordoen.
Bij VIDENT slagen complexe gevallen omdat zij worden beheerd via structuur, documentatie en specialistisch geleide controle — niet via improvisatie.
Elk geval wordt gefotografeerd, gemeten en systematisch opgevolgd. Beslissingen zijn gebaseerd op vastgelegde data en langetermijnresultaten — niet op geheugen of aannames.
Wij werken uitsluitend met premium implantaatsystemen die zijn ontworpen voor veeleisende klinische situaties. Wanneer osseointegratie uitdagend is of onmiddellijke belasting vereist is, zijn implantaatontwerp en engineering van doorslaggevend belang.
Complexe procedures vergen tijd. Onze sedatieopties zorgen ervoor dat u gedurende de behandeling comfortabel blijft, terwijl continue monitoring uw welzijn in elke fase waarborgt.
U ontvangt een uitgebreid, gespecificeerd behandelplan voordat de behandeling begint. Botopbouw, sinusliften, tijdelijke restauraties en definitieve kronen zijn vooraf opgenomen. Er verschijnen geen onverwachte kosten halverwege het traject.
Complexe gevallen slagen niet toevallig.
Zij slagen wanneer elke variabele wordt voorzien, gecontroleerd en gepland.
Fase Eén: Ontdekking & Ontwerp
Geen druk. Geen verrassingen.
Fase Twee: Precisieplaatsing
Fase Drie: Genezing & Integratie
Uw implantaat wordt een deel van u.

Fase Vier: Definitieve Transformatie
Ontworpen om er volledig natuurlijk uit te zien — en zo aan te voelen.
Fase Vijf: Levenslange Zorg (Doorlopend)
Omdat implantaten een langetermijninvestering zijn — en zo behandelen wij ze ook.
Veel van onze patiënten komen nadat zij elders dezelfde aanbeveling hebben gekregen: uitneembare prothesen.
Hier ontdekken zij iets anders.
Met geavanceerde botopbouw, strategische implantaatplaatsing en specialistisch geleide planning blijken vaste tanden vaak nog steeds haalbaar — zelfs in gevallen die eerder als ongeschikt werden beschouwd. Dat moment van inzicht, wanneer een patiënt begrijpt dat zijn situatie niet hopeloos is, is precies waarom specialistische zorg telt.
De waarde zit niet alleen in de procedure.
Zij zit in het vertrouwen dat ontstaat door samen te werken met een clinicus die dezelfde complexe problemen herhaaldelijk heeft opgelost.
Zij zit in voorspelbare resultaten, ondersteund door gedocumenteerde casussen.
Zij zit in een proces waarin klinische beslissingen, tijdlijnen en kosten duidelijk zijn — zonder onverwachte verrassingen onderweg.
Patiënten reizen door heel Antwerpen niet voor gemak, maar voor zekerheid.
Complexe implantaatbehandeling vereist meer dan één enkele procedure.
Het vraagt tijd, geavanceerde materialen en specialistisch besluitvormingsniveau.
Onze prijsstelling weerspiegelt deze realiteit — helder en transparant.
U ontvangt een volledig gespecificeerde financiële uitsplitsing tijdens uw planningsconsult.
Bij complexe zorg is duidelijkheid geen optie.
Het is onderdeel van de behandeling zelf.
Als u deze pagina heeft bereikt, bent u niet op zoek naar snelle oplossingen.
U zoekt duidelijkheid, expertise en zekerheid.
U begrijpt dat complexe problemen gestructureerd denken, zorgvuldige planning en specialistisch geleide beslissingen vereisen — geen snelle lapmiddelen.
Wij hebben honderden gevallen met vergelijkbare complexiteit behandeld.
En wij weten dat echte zekerheid niet voortkomt uit beloften.
Zij komt voort uit proces, ervaring en herhaalbare resultaten.
Een uitgebreid consult stelt ons in staat uw situatie volledig te beoordelen en het meest geschikte vervolgtraject te bepalen — zonder druk, zonder urgentie.
Stel u voor dat u verdergaat met de zekerheid dat alles is overwogen.
Dat is wat wij bij VIDENT bieden.
Tandarts, Implantologie, Orale Heelkunde, Volledige Mondrehabilitatie
Specialiteit: Orale heelkunde en implantologie
Ervaring: 12 jaar
Opleiding: Master (MSc) in de implantologie, Master (MSc) in de orale heelkunde, talrijke certificaten in implantologie, botopbouw (botaugmentatie) en parodontale chirurgie.
Expertise: Plaatsen van tandimplantaten, volledige mondrehabilitaties met implantaten, botaugmentaties, weke delen regeneratie, tandvleesrecessies, botopbouw met behulp van lichaamseigen (autogene) botblokken en partikels, kronen en bruggen, digitale tandheelkunde, smile design (glimlachontwerp).
Laat uw gegevens achter en ons team neemt contact met u op om uw afspraak in te plannen.
Ja. In veel gevallen kunnen mislukte tandimplantaten succesvol worden gecorrigeerd of vervangen.
Bij complexe gevallen is de eerste en meest cruciale stap het vaststellen waarom het vorige implantaat is mislukt — zoals botverlies, onjuiste positionering, overbelasting van de beet of fouten in het prothetisch ontwerp.
Bij VIDENT Clinic wordt de behandeling ontworpen vanuit het ideale eindresultaat, niet enkel gericht op het opnieuw plaatsen van een implantaat. Deze allesomvattende aanpak vermindert het risico op herhaalde mislukking aanzienlijk.
Niet noodzakelijk. Een gebrek aan bot sluit implantaatbehandeling niet automatisch uit.
In complexe gevallen kunnen geavanceerde oplossingen zoals:
worden overwogen. De beslissing is niet alleen gebaseerd op beeldvorming, maar ook op gelaatsanatomie, beetdynamiek en langetermijnesthetische uitkomsten.
Een implantaatgeval wordt als complex beschouwd wanneer één of meer van de volgende factoren aanwezig zijn:
In deze situaties hangt succes af van ervaring, nauwkeurige planning en prothetisch gedreven behandeling — niet alleen van chirurgische vaardigheid.
Nee. De behandeling wordt zorgvuldig gepland en uitgevoerd in gestructureerde fasen.
Moderne anesthesietechnieken maken procedures mogelijk met minimaal ongemak, en het behandelplan is zo ontworpen dat:
Veel patiënten geven aan dat de angst vóór de behandeling veel groter was dan de behandeling zelf.
Het cruciale verschil bij complexe implantaatgevallen ligt in een correcte behandelopzet vanaf het begin.
Dr. Viktor Petrov start elk geval met de vraag:
“Hoe moet de uiteindelijke tand eruitzien, aanvoelen en functioneren?”
Op basis van deze visie worden de implantaatpositie, angulatie, het prothetisch ontwerp en de materiaalkeuze bepaald.
Het doel is uw tand te herstellen — niet een tand te creëren die niet past bij uw gezicht of beet.
In sommige gevallen wel. De werkelijke waarde ligt echter in het vermijden van herhaalde mislukkingen en corrigerende behandelingen.
Goedkope, slecht geplande implantaatbehandelingen leiden vaak tot:
Bij complexe gevallen worden behandelingsopties en kosten vanaf het begin transparant uitgelegd, zodat patiënten weloverwogen en zelfverzekerde beslissingen kunnen nemen.